产品中心
细胞生物学
病理及细胞遗传
单细胞原位空间转录组
固相合成仪
单细胞建库
类器官
免疫学
细胞生物学
分子生物学
实验室常规
技术交流

扫描二维码
或添加“GeneGroup003”
获取更多更新资讯
商城订购

扫描二维码
或添加“基因商城(GeneMart)”
手机下单,快人一步
售后服务

扫描二维码
或添加“GeneGroup005”
获取更快速售后支持
PURExpress
PURExpress® Δ Ribosome Kit
PURExpress® 体外蛋白合成试剂盒是新型无细胞转录/翻译体系,用于基因快速表达分析,是由大肠杆菌翻译所必需组份纯化而构成。PURExpress 体系无核酸酶和蛋白酶的污染,保护了 DNA 和 RNA模板/复合体,避免了蛋白的修饰及降解。转录和翻译过程仅需将两管试剂混合,一步反应即可完成,几个小时内即可获得实验结果,PURExpress 体系大大地节省了宝贵的实验时间,是用于高通量技术的理想选择。

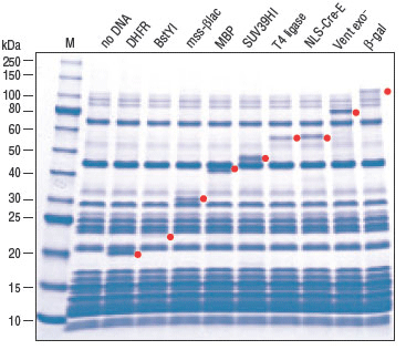
图 1:使用 PURExpress® 体外蛋白合成试剂盒的表达蛋白
在 25 μl 反应体系中加入 250 ng 模板 DNA 和 20 单位 RNase 抑制剂,37℃ 温育 2 小时。各取 2.5 μl 反应液使用 10 – 20% Tris-甘氨酸凝胶进行 SDS-PAGE 电泳分析。红点处指示为目的蛋白。Marker M 是蛋白质分子量标准(NEB# P7703 已停产,被 NEB #P7717 替代)。

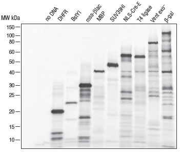
图 2:添加 35S-甲硫氨酸通过放射自显影显示蛋白
在 25 μl 反应中加入 250 ng 模板 DNA、20 单位 RNase 抑制剂以及 2 μl 35S-甲硫氨酸,37℃ 温育 2 小时。各取 2.5 μl 反应液进行 SDS-PAGE 电泳分析,将凝胶固定 10 分钟,80℃干燥 2 小时,并在 -80℃ 条件下使用 x 射线胶片曝光 5 小时。

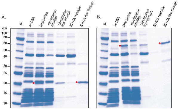
图 3:使用 PURExpress 体系表达和反向纯化
DHFR(A)和 T4 DNA 连接酶(B) 根据随附产品说明书中的建议,使用 125 μl 的反应体系。样本使用经考马斯亮蓝染色的 10 – 20% Tris-甘氨酸凝胶进行分析。在这两种情况下,目的蛋白都可以在总蛋白质的条带中可见。红点处指示为目的蛋白。Marker M 是蛋白质分子量标准(NEB #P7703 已停产,被 NEB #P7717 替代)。

1、贮存条件:建议贮存于 -20℃。
2、注意事项: PURExpress 二硫键增强剂经过优化,能够与 NEB PURExpress 体系(NEB #E6800、E3313)一起使用。然而,它与其它供应商的细菌 S30 裂解物 IVTT 体系兼容(图 2)。由于其它体系的产品剂型不同,因此与 PDBE 相关的所有指南、操作说明和常见问题解答均仅适用于 PURExpress 体系。
| 货号 | 产品名称 | 单位 | 购买 |
|---|---|---|---|
| SI-0246 | Vortex-Genie2 多功能漩涡振荡器 | 1 set | 商城订购 |
| 244-PCR-C-0.2-BAG | 0.2ml PCR管 | 1000 个/包 | 商城订购 |
| 4381 | 0.1-2ul单道移液器 | 1 unit | 商城订购 |
| 4382 | 0.5-10ul单道移液器 | 1 unit | 商城订购 |
| 221-R-C-10S | 0.5-10ul 盒装灭菌吸头 | 96支/盒,10盒/组,5组/箱 | 商城订购 |
\r\n\n", 3,$destination); ?>