产品中心
细胞生物学
病理及细胞遗传
单细胞原位空间转录组
固相合成仪
单细胞建库
类器官
免疫学
细胞生物学
分子生物学
实验室常规
技术交流

扫描二维码
或添加“GeneGroup003”
获取更多更新资讯
商城订购

扫描二维码
或添加“基因商城(GeneMart)”
手机下单,快人一步
售后服务

扫描二维码
或添加“GeneGroup005”
获取更快速售后支持
β-Actin (13E5) 兔单克隆抗体
β-Actin (13E5) Rabbit mAb
β-Actin (13E5) Rabbit mAb识别内源性的β-actin总蛋白。该抗体可能与γ-actin(cytoplasmic isoform)发生交叉反应。它不与α-skeletal、α-cardiac、α-vascular smooth或γ-enteric平滑肌亚型发生交叉反应。通过人工合成与人源β-actin蛋白邻近氨基末端的氨基酸残基序列一致的肽段,对动物进行免疫接种从而制备单克隆抗体。
![]()

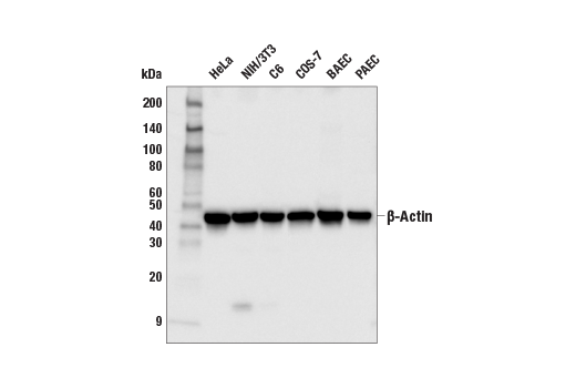
图1、使用β-肌动蛋白(13E5)兔mAb对来自各种细胞系的细胞提取物进行WB分析。

图2、使用β-肌动蛋白(13E5)兔mAb对石蜡包埋的人类心脏进行免疫组织化学分析。注意心脏肌动蛋白缺乏染色。

图3、使用β-肌动蛋白(13E5)兔mAb(绿色)对COS-7细胞进行共聚焦免疫荧光分析。蓝色假彩色=DRAQ5®#4084(荧光DNA染料)。
1、特异性/灵敏度 β-Actin (13E5) Rabbit mAb 可检测总 β-肌动蛋白的内源水平。尽管细胞质肌动蛋白同工型、β 肌动蛋白和细胞质 γ 肌动蛋白之间有着高序列同源性,但 β-Actin (13E5) Rabbit mAb #4970 不会与细胞质 γ 肌动蛋白或任何其他肌动蛋白同工型发生交叉反应。
2、物种反应性:人, 小鼠, 大鼠, 猴, 牛 , 猪;
3、基于100%序列同源性预测反应的物种:仓鼠 , 鸡 , 犬 , 马, 兔;
4、应用范围:WB、IHC-P、F、IF-IC、IHC-F;
5、MW (kDa):45;
6、Isotype:Rabbit IgG;
7、标记:无标记。
| 货号 | 产品名称 | 单位 | 购买 |
|---|
| 货号 | 名称 | 单位 | 购买 |
|---|---|---|---|
| 4970T | β-Actin (13E5) 兔单克隆抗体 | 20 µl | 商城订购 |
| 4970L | β-Actin (13E5) 兔单克隆抗体 | 300µl | 商城订购 |
| 4970S | β-Actin (13E5) 兔单克隆抗体 | 100µl | 商城订购 |
\r\n\n", 3,$destination); ?>