产品中心
细胞生物学
病理及细胞遗传
单细胞原位空间转录组
固相合成仪
单细胞建库
类器官
免疫学
细胞生物学
分子生物学
实验室常规
技术交流

扫描二维码
或添加“GeneGroup003”
获取更多更新资讯
商城订购

扫描二维码
或添加“基因商城(GeneMart)”
手机下单,快人一步
售后服务

扫描二维码
或添加“GeneGroup005”
获取更快速售后支持
HA-Tag (C29F4) 兔单克隆抗体
HA-Tag (C29F4) Rabbit mAb
HA-Tag (C29F4) Rabbit mAb用来检测外源性表达的具有HA表位标签的重组蛋白。单克隆抗体是用含有流感血凝素表位(YPYDVPDYA的合成肽段肽段免疫动物生产的。
![]()

图1:使用HA-Tag(C29F4)兔mAb对未转染或用HA-FoxO4或HA-Akt3转染的HeLa细胞的提取物进行WB分析。

图2:来自COS-7细胞的裂解物(0.1 mg/mL)的Simple Western™分析,使用HA Tag(C29F4)兔mAb#3724用表达HA标记的Stat3的构建体转染。虚拟通道视图(左)显示了一次抗体1:50和1:250稀释液的单个靶带(如图左所示)。相应的电泳图视图右。

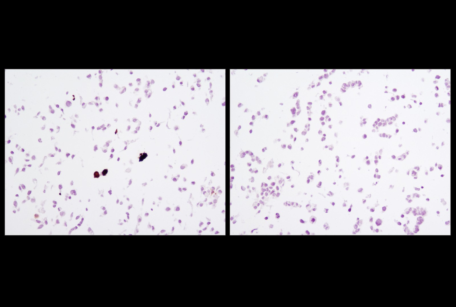
图3:使用HA-Tag(C29F4)兔mAb对石蜡包埋的COS细胞、HA-Tag转染的(左)或未转染的(右)进行免疫组织化学分析。
1、特异性/灵敏度 HA-Tag (C29F4) Rabbit mAb 可检测含有 HA 表位标签的外源表达蛋白质。该抗体可与未知来源的 ~100kDa 蛋白发生交叉反应。
2、物种反应性:预期的所有物种 。
3、应用范围:WB IP IHC-P IF-IC F ChIP。
4、标记:无标记。
| 货号 | 产品名称 | 单位 | 购买 |
|---|
\r\n\n", 3,$destination); ?>