技术交流

扫描二维码
或添加“GeneGroup003”
获取更多更新资讯
商城订购

扫描二维码
或添加“基因商城(GeneMart)”
手机下单,快人一步
售后服务

扫描二维码
或添加“GeneGroup005”
获取更快速售后支持
PURExpress® 体外蛋白合成试剂盒
PURExpress® In Vitro Protein Synthesis Kit
PURExpress® 体外蛋白合成试剂盒是新型无细胞转录/翻译体系,用于基因快速表达分析,是由大肠杆菌翻译所必需组份纯化而构成。PURExpress 体系无核酸酶和蛋白酶的污染,保护了 DNA 和 RNA模板/复合体,避免了蛋白的修饰及降解。转录和翻译过程仅需将两管试剂混合,一步反应即可完成,几个小时内即可获得实验结果,PURExpress 体系大大地节省了宝贵的实验时间,是用于高通量技术的理想选择。

图 1:使用 PURExpress® 体外蛋白合成试剂盒的表达蛋白
在 25 μl 反应体系中加入 250 ng 模板 DNA 和 20 单位 RNase 抑制剂,37℃ 温育 2 小时。各取 2.5 μl 反应液使用 10 – 20% Tris-甘氨酸凝胶进行 SDS-PAGE 电泳分析。红点处指示为目的蛋白。Marker M 是蛋白质分子量标准(NEB #P7703 已停产,被 NEB #P7717 替代)。

图 2:添加 35S-甲硫氨酸通过放射自显影显示蛋白
在 25 μl 反应中加入 250 ng 模板 DNA、20 单位 RNase 抑制剂以及 2 μl 35S-甲硫氨酸,37℃ 温育 2 小时。各取 2.5 μl 反应液进行 SDS-PAGE 电泳分析,将凝胶固定 10 分钟,80℃干燥 2 小时,并在 -80℃ 条件下使用 x 射线胶片曝光 5 小时。

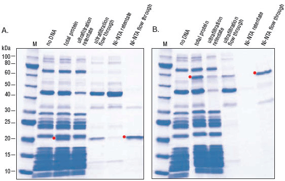
图 3:使用 PURExpress 体系表达和反向纯化 DHFR(A)和 T4 DNA 连接酶(B)
根据随附产品说明书中的建议,使用 125 μl 的反应体系。样本使用经考马斯亮蓝染色的 10 – 20% Tris-甘氨酸凝胶进行分析。在这两种情况下,目的蛋白都可以在总蛋白质的条带中可见。红点处指示为目的蛋白。Marker M 是蛋白质分子量标准(NEB# P7703 已停产,被 NEB #P7717 替代)。

1、提供 125 ng/µl 的对照(DHFR)模板。使用 2 µl 模板进行阳性对照反应。模板 DNA,特别是通过质粒小提制备的 DNA(如 Qiagen)通常是 RNase 酶污染的主要来源。我们强烈建议在每个反应中加入 20 单位的小鼠 RNase 抑制剂(NEB #M0314)。
2、PURExpress DHFR 对照模板序列文件:Fasta GenBank
3、贮存条件:试剂盒所有组份必须贮存于 -80℃。
4、将溶液 B 加入溶液 A 中,不要在未缓冲的情况下稀释溶液 B。我们建议 25 μl 反应体系中模板 DNA 的起始量为 250 ng。可以通过建立多个反应并滴定加入不同起始量的 DNA,来确定模板 DNA 的最佳用量。通常情况下,每 25 μl 反应体系中,模板 DNA 最佳用量范围在 25 – 1000 ng 之间。
| 货号 | 产品名称 | 单位 | 购买 |
|---|
\r\n\n", 3,$destination); ?>