技术交流

扫描二维码
或添加“GeneGroup003”
获取更多更新资讯
商城订购

扫描二维码
或添加“基因商城(GeneMart)”
手机下单,快人一步
售后服务

扫描二维码
或添加“GeneGroup005”
获取更快速售后支持
大型种草现场!看NEB如何玩转「无细胞蛋白表达」!
1961年,Nirenberg 和 Matthaei 的早期开创性工作证明,使用细胞提取物即可实现体外蛋白翻译。自此,无细胞蛋白表达成为分子生物学家的重要工具。在后基因组时代,无细胞蛋白合成极有可能成为重要的高通量技术,用于功能基因组学和蛋白质组学。 与利用活细胞生产蛋白相比,无细胞蛋白表达最大的优点是可以快速从基因型(基因)中获得表达型(蛋白质)。从PCR或质粒模板开始,可以在几个小时内完成体外蛋白表达和功能分析。此外,由于整体过程不依赖宿主细胞,因此能够很容易地在体外制备毒性蛋白或易于发生水解降解的蛋白。

市售的无细胞蛋白表达系统通常源自大肠杆菌S30、兔网织红细胞或小麦胚芽的细胞提取物。基于细胞提取物进行无细胞蛋白表达的缺点是:系统通常含有对蛋白表达不利的非特异性核酸酶和蛋白酶。此外,细胞提取物就像一个“黑匣子”,其中许多未经表征的蛋白活性可能会改变或干扰后续的下游实验。
虽然对于这些限制因素可以在某种程度上克服,例如使用基因工程改造菌株或添加一些抑制剂,但是这些都无法从根本上解决问题。
如何真正告别细胞提取物的“黑匣子”特性,是科学家优化无细胞蛋白表达的重要方向。致力于生命科学发展的NEB可为您提供新一代无细胞表达技术PURExpress®体外蛋白合成试剂盒,以及可快速实现蛋白高产量表达的NEBExpress®无细胞E. coli蛋白合成系统。

1 PURExpress®体外蛋白合成试剂盒
2001年,东京大学的Takuya Ueda博士实验室首次完成了大肠杆菌蛋白翻译系统的体外重构,这一方法被称为“PURE”系统,全称为“使用重组元件进行蛋白表达”。随后,这一系统由日本后基因组研究所(PGI)商业化,命名为PURESYSTEM®。除了从大肠杆菌中高度纯化的核糖体和 tRNA外,PURE系统以全重组蛋白重新构建了大肠杆菌的翻译机制。
NEB的PURExpress®(NEB#E6800)基于PGI的PURESYSTEM®,并在原始的“Classic II”试剂盒基础上优化了组分,提高了蛋白表达产量。
PURE系统包含以下组分: 1.带有 His 标签的翻译因子: (1)起始因子(IF1、IF2、IF3) (2)延伸因子(EF-Tu、EF-Ts、EF-G) (3)释放因子(RF1、RF2、RF3) (4)核糖体回收因子 (5)20种氨酰 tRNA 合成酶 (6)甲硫氨酰 tRNA 甲酰转移酶 2. 大肠杆菌核糖体 3. 大肠杆菌 tRNA 4. 能量再生系统 5. NTP、氨基酸、盐、缓冲液
此外,重组T7 RNA聚合酶用于将转录与翻译耦合。PURE系统是告别细胞提取物的“黑匣子”特性,朝着组分完全确定的体外转录/翻译系统迈出的重要一步。
PURE 系统的优势和应用
对于许多体外应用,PURE系统比大多数基于提取物的系统更加稳健和方便。直接的优势是显著降低污染活性。它可用于表达多种蛋白,且产量可超100μg/ml。由于反应混合物的背景活性低,通常可以直接分析表达蛋白的活性,而无需纯化。PURE系统内的所有重组蛋白因子均带有His标签,在某些情况下能够“反向纯化”合成的蛋白。
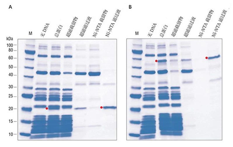
使用 PURExpress系统进行蛋白表达和纯化示意图 (向下滑动查看更多)

使用PURExpress系统表达和反向纯化 DHFR (A) 和 T4 DNA 连接酶 (B)。根据随附说明书的建议进行 125 µl反应。在 10-20% Tris-甘氨酸凝胶上分析样品并用考马斯亮蓝染色。可以看出,在这两种情况下,目的蛋白都可以在总蛋白条带上可视化。红点表示目的蛋白。Marker M是蛋白Ladder (NEB #P7703)。

在25 μl反应体系中加入250 ng模板DNA和20单位 RNase 抑制剂,37℃温育2小时。各取2.5 μl反应液使用10–20%Tris-甘氨酸凝胶进行 SDS-PAGE 电泳分析。红点处指示为目的蛋白。Marker M是蛋白质分子量标准(NEB #P7703已停产,被NEB #P7717替代)。
PURE 系统的优点 已在多种体外应用中得到证明
1 高通量功能基因组学和蛋白质组学 PURE 系统反应体系简单,使其能够轻松集成到功能基因组学和蛋白质组学研究的高通量平台中,不存在核酸酶污染,可确保线性DNA 模板在蛋白表达过程中的稳定性。用于体外表达的DNA模板可通过PCR 反应生成,从而避免耗时的克隆过程。 无论是发掘具有新活性的蛋白,还是探蛋白间相互作用,此功能对于全基因组规模的高通量筛选非常有效。对于结构基因组学项目,PURE 系统能够成为获取那些难以通过传统细胞系统表达的困难蛋白的替代途径。 2 蛋白质工程 蛋白质的体外定向进化是改进和创造生物催化剂的有力工具。许多体外进化方法如mRNA 展示、核糖体展示和体外区室化,都依赖于体外翻译。例如,NEB 首先证明PURE 系统因为不具有非特异性核酸酶活性,特别适合使用体外区室化方法体外筛选限制性内切酶。 系统性突变的蛋白编码库可用于测试特定突变是否影响蛋白功能,只需几个PCR 步骤后,即可利用PURE 系统获得突变蛋白,从而有助于快速对假设进行实验验证。 3 蛋白表达、翻译和折叠的研究 PURE 系统包含体外蛋白翻译所需的最少因子,它基本上不含用于翻译后修饰的伴侣蛋白和其他细胞因子,从而为研究这些因子参与转录/翻译调节和新生链折叠提供了一个起点。 它还可用于生产“干净”的蛋白,这类蛋白如果从传统细胞宿主中纯化,可能会带有不需要的修饰或结合的辅因子。许多研究翻译的研究实验室通常使用自制的重构系统来对翻译进行多方面研究。 4 掺入非天然氨基酸 PURE 系统的另一个重要优势是能够控制其成分,例如,PURE 系统中去掉释放因子1 (RF1),可以将非天然氨基酸通过化学错误酰化的抑制性tRNA有效掺入特定的琥珀密码子位点。
产品信息

2 NEBExpress®无细胞E. coli 蛋白合成系统
NEB 研发团队基于经过基因工程改造的大肠杆菌菌株,通过一系列开发策略,在模板DNA、RNA和蛋白产物的稳定性方面进行了最大程度的提升,结合高度优化的反应缓冲液和严格的生产工艺,研发出的NEBExpress®无细胞E. coli蛋白合成系统,其在性能、易用性和稳健性方面,都有极佳的表现,可以快速实现蛋白的高产量表达。
NEBExpress® 无细胞E. coli蛋白合成系统利用经过基因工程改造的大肠杆菌菌株、优化的反应缓冲液和严格的生产工艺,能够合成分子量高达230 kDa的蛋白。在最佳条件下,蛋白合成可持续长达24小时,每毫升的产量可达毫克级。该系统的多功能性使其成为,包括高通量蛋白质筛选以及合成生物学在内的多种应用的理想选择。
01 基于不同模板类型的蛋白表达效率:
NEBExpress®无细胞E. coli蛋白合成系统可以实现从质粒DNA、线性DNA 和mRNA 模板高效合成蛋白。

A. 分别使用等摩尔量的质粒DNA、线性DNA 和添加 GamS (NEB #P0774) 的线性DNA 作为无细胞表达的模板,线性DNA 中添加 GamS (NEB #P0774) 使 vGFP 蛋白产量几乎翻倍。 B. 使用质粒 DNA (C)、线性 DNA (L) 和添加有 GamS (L+GS) 的线性 DNA 对鸟苷酸激酶 (GMK) 和二氢叶酸还原酶 (DHFR) 进行无细胞表达。框中区域显示,添加 GamS 后线性 DNA 模板的蛋白表达产量增加。 C. 起始mRNA 模板量的增加,会导致目标 vGFP 产量的增加。图中,将蛋白产量与使用250 ng 质粒 DNA 的无细胞表达反应的产量进行比较。
02 目标蛋白大小和温度 对蛋白表达的影响:
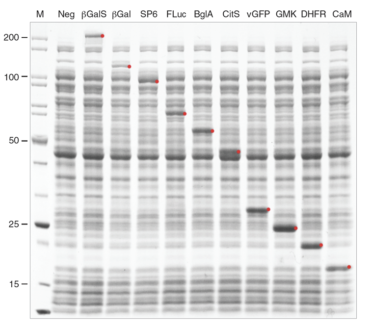
NEBExpress®无细胞E. coli蛋白合成系统能够高产量合成多种不同大小(16.7–230 kDa)的蛋白,并且可以通过优化反应温度实现蛋白高产量表达。
NEBExpress®无细胞E. coli蛋白合成系统已证明能够高产量合成多种不同大小 (16.7–230 kDa) 的蛋白,其中包括β-半乳糖苷酶 S (230 kDa)。

使用无细胞表达系统表达十个不同的目标蛋白(用红点表示)和无 DNA 阴性对照(neg;泳道 2)。目标蛋白的大小范围为 16.7-230 kDa。合成的蛋白包括(泳道 3 至 12):链球菌(Streptococcus)β-半乳糖苷酶 (βGalS)、大肠杆菌 β-半乳糖苷酶 (βGal)、SP6 RNA 聚合酶 (SP6)、萤火虫荧光素酶 (FLuc)、6-磷酸-β-葡萄糖苷酶 (BglA)、柠檬酸合酶 (CitS)、venus 绿色荧光蛋白 (vGFP)、鸟苷酸激酶 (Gmk)、二氢叶酸还原酶 (DHFR) 和钙调蛋白 (CaM)。
产品信息


基因有限公司作为NEB 全国一级代理商,为您提供专业的产品服务!
欢迎添加产品专员, 了解更多产品信息!

\r\n\n", 3,$destination); ?>