技术交流

扫描二维码
或添加“GeneGroup003”
获取更多更新资讯
商城订购

扫描二维码
或添加“基因商城(GeneMart)”
手机下单,快人一步
售后服务

扫描二维码
或添加“GeneGroup005”
获取更快速售后支持
【CST上新啦!】阿尔兹海默病研究再添新靶点!
阿尔茨海默病是全球最常见的神经退行性疾病之一。临床特征表现为出现细胞外淀粉样斑块以及细胞内神经原纤维缠结,导致神经元功能障碍和细胞死亡。
交互式阿尔茨海默病信号转导通路
通路描述
此病的中心环节是膜内蛋白APP(淀粉样前体蛋白)在正常和病理状态下的不同发展过程。 正常状态下,APP首先被α-分泌酶裂解后产生sAPP α和一个C83羧基端片段。sAPP与正常的突触信号转导相关,并能建立突触可塑性、学习和记忆、情绪性行为以及神经存活。 在疾病状态下,APP相继被β-分泌酶和γ-分泌酶裂解,并释放一个称为A40/42的胞外片段。此类神经毒性片段频繁聚集,并导致A40/42齐聚反应,形成斑块。A40/42聚集导致离子通道堵塞,钙离子稳态失衡,线粒体氧化应激、能量代谢受损以及糖调节异常,最终导致神经细胞死亡。 阿尔茨海默病的另一大特征是出现神经元纤维缠结。这些缠结的形成是由于微管相关Tau蛋白的过度磷酸化。GSK-3和CDK5是磷酸化Tau蛋白的主要激酶,其他参与的激酶还有PKC、PKA和 Erk2。Tau蛋白过度磷酸化导致Tau从微管上分离,使得微管失稳以及细胞内Tau蛋白的齐聚反应。神经元纤维缠结形成的原因是Tau低聚化,会导致神经元凋亡。
新品推荐!
1 TREM2(E7O7Q)Rabbit mAb #89956 一种与阿尔茨海默氏病遗传相关的膜蛋白
骨髓细胞表达的触发受体2 (TREM2) 蛋白是一种先天免疫受体,表达于小胶质细胞、巨噬细胞、破骨细胞和未成熟树突细胞的细胞表面。TREM2受体是一种单通道 I 型膜糖蛋白,由胞外免疫球蛋白样结构域、跨膜结构域和胞质尾部组成。TREM2与酪氨酸激酶结合蛋白DAP12相互作用,形成受体信号复合物。TREM2蛋白在先天免疫中发挥着重要作用,TREM2的罕见功能变体 (R47H) 与阿尔茨海默病的迟发风险相关。 关键词:阿尔茨海默病, 小胶质细胞, 巨噬细胞 Flow: 使用#89956(实线)或浓度匹配的Rabbit (DA1E) mAb IgG XP® Isotype Control #3900(虚线)对活Neuro-2a细胞(蓝色,阴性)和J774A.1细胞(绿色,阳性)进行流式细胞分析。使用抗兔IgG (H+L), F(ab’)2 Fragment (Alexa Fluor® 488 Conjugate) #4412作为二抗。
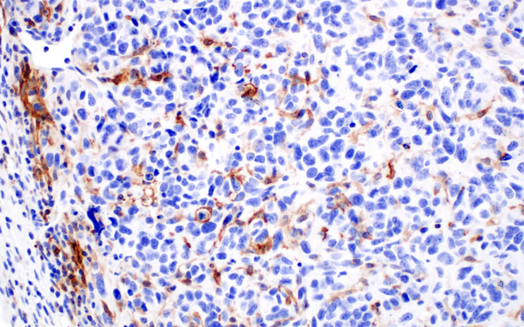
2 Dectin-1/Clec7a (E3P5W) Rabbit mAb #30260 骨髓细胞和阿尔茨海默病中的关键凝集素受体
Dectin-1,也称为Clec7a,是一种C型凝集素受体,由巨噬细胞、单核细胞、树突状细胞、中性粒细胞和γδ T细胞亚群表达。Dectin-1是一种糖蛋白,具有八种不同的亚型,通过选择性剪接产生。它作为真菌和某些细菌细胞壁上发现的β-葡聚糖的模式识别受体,在抗真菌免疫中发挥重要作用。Dectin-1由含有ITAM样基序的短氨基末端胞质结构域、跨膜结构域和胞外羧基末端C型凝集素结构域组成。Dectin-1通过其C型凝集素结构域识别β-葡聚糖,并通过其ITAM样基序招募和激活Syk来转导信号。通过Dectin-1激活的树突状细胞通过产生IL-6 和IL-23促进Th17细胞的分化。 关键词:骨髓细胞, 神经科学, β-葡聚糖 IHC-P:使用#30260对石蜡包埋的GL261同基因肿瘤进行IHC分析。
向下滑动查看更多

CST重组抗体买二送一活动即将收尾! 限时好价末班车就等你啦
!

★
基因有限公司作为CST授权经销商,为您的实验提供优质的支持与帮助!
欢迎添加产品专员, 了解更多产品信息!

\r\n\n", 3,$destination); ?>