技术交流

扫描二维码
或添加“GeneGroup003”
获取更多更新资讯
商城订购

扫描二维码
或添加“基因商城(GeneMart)”
手机下单,快人一步
售后服务

扫描二维码
或添加“GeneGroup005”
获取更快速售后支持
基因组质控想要操作更简单,评估结果更客观? 看这里!
确定初始基因组尤其是长期储存的样本库样本或纯化自FFPE样本的基因组的完整性,是NGS测序以及比较基因组杂交(aCGH)等实验的关键步骤。
安捷伦4150/4200 TapeStation自动化电泳系统让您实现自动化、操作简单、快速、灵活通量、评估结果更客观的基因组质控。

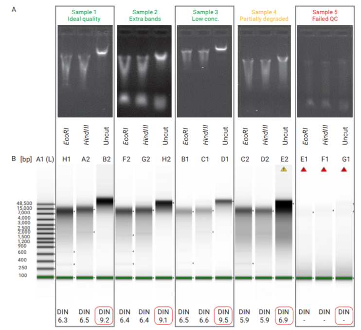
基因有限公司为安捷伦中国区自动化电泳全线代理商 自动化、操作简单、快速 4150/4200 TapeStation自动化电泳系统采用全自动样品处理和ScreenTape预制胶技术。您只需选择合适的ScreenTape胶条,将放置于8连管或96孔板的样品、足够数量的胶条放进仪器,点击运行,之后的所有的移液、加样、更换胶条、检测等工作均由系统自动完成,每个样品的检测仅需1-2分钟。 通量灵活、成本恒定 4150/4200 TapeStation可实现1-16/1-96范围内任意数量的样本的检测。每个即开即用型的ScreenTape 胶条都包含 16 条泳道,运行时每个样品均在单独的泳道内进行分析,无交叉污染风险。仅使用了部分泳道的 ScreenTape 胶条还可以在后续继续使用,不仅通量灵活,而且可以实现单个样本成本恒定。 客观的、标准化的基因组质控 为了客观的评估gDNA的完整性,基于对约7000种不同真核来源的gDNA样品(包括血样、干血斑、唾液、无脊椎动物、不同的人类组织和FFPE样本等)的分析,安捷伦在Genomic DNA ScreenTape assay上开发了一种软件算法,这种算法可以可靠、重复的实现对DNA完整性的数值评估,表示为DNA Integrity Number(DIN),DIN的范围为1~10,数值越大代表基因组越完整。 Coriell Institute for Medical Research(以下简称Coriell)的生物样本库中心拥有着世界级的丰富的细胞系、DNA和其他生物材料资源。他们早期通过普通琼脂糖凝胶电泳人工判断储存的DNA的完整性。TapeStation的引入,让他们不再依赖于个人的经验,而是通过DIN实现对基因组更客观的质控。 Coriell 分别用传统琼脂糖凝胶电泳和TapeStation对原始的gDNA以及通过 EcoRⅠ和 HindⅢ 酶切的gDNA进行质控,结果显示DIN评分与人工判断的结果一致。 A为琼脂糖凝胶电泳图,B为TapeStation电泳图及DIN。(注:红色警示表示超出DIN检测范围,黄色警示表示上样过载) Coriell 通过TapeStation对1990-2000年纯化的50个gDNA进行质控,结果显示DIN均在7.0以上(Coriell 认为DIN>7.0的是高质量样本),通过比较不同年份的样本的DIN,可以确定样本质量始终如一,表明储存条件非常好。 50个样本的TapeStation电泳图和DIN 不同年份的样本DIN比较 除了基因组质控,4150/4200 TapeStation 还可以用于NGS文库质控、cfDNA质控、RNA质控、PCR产物分析等。敬请关注后续更多精彩内容。 往期内容:如何实现大片段DNA的电泳和分析 扫码一对一交流 基因有限公司作为Agilent中国区自动化电泳产品全线代理商,为您提供基于预制胶、微流控芯片和毛细管三种不同电泳方式的最全面、最灵活的自动化电泳解决方案。









\r\n\n", 3,$destination); ?>