技术交流

扫描二维码
或添加“GeneGroup003”
获取更多更新资讯
商城订购

扫描二维码
或添加“基因商城(GeneMart)”
手机下单,快人一步
售后服务

扫描二维码
或添加“GeneGroup005”
获取更快速售后支持
Cell Protocol | 技术升级!LI-COR Odyssey 高通量定量筛选神经细胞或者脑组织中目标蛋白
高通量蛋白鉴定方法对神经科学的进步至关重要,像神经元连接方式的研究,阿尔茨海默病(AD)敏感的早期认知标记物的识别等,都需要依赖高通量筛选的方法。
2020年9月18日,来自美国健康科学西部大学基础医学院的Glen E. Kisby教授在Cell杂志的STAR Protocol上发表了名为Protocol for High-Throughput Screening of Neural Cell or Brain Tissue Protein Using a Dot-Blot Technique with Near-Infrared Imaging的实验方法。该方法描述了如何从培养的神经细胞或者脑组织中提取蛋白,并利用dot-blot技术在LI-COR Odyssey的双色近红外荧光成像平台上对目标蛋白实现高通量筛选。值得一提的是,该方法允许在一个dot上同时鉴定两个目标蛋白。
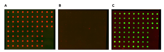
斑点杂交(Dot blot)是将待测物质点到NC膜上并风干,然后通过标记的特异性抗体杂交,放射自显影或者数字成像后实现定性或半定量检测的技术。由于检测灵敏度的限制,该技术普遍用于抗体验证,以及Western blot最佳上样量的前期摸索。在本实验方法中,Dr. Kisby等人通过引进先进的蛋白印记成像方法-LI-COR Odyssey双色近红外激光成像技术,大大提高了该方法的检测灵敏度,结合近红外荧光二抗的稳定信号,将该技术升级成为可准确定量的高通量筛选方法。 图示近红外成像dot-blot高通量蛋白筛选策略流程图 实验方法 Protocol 01 一、蛋白样品制备 a)细胞裂解液蛋白提取(1+h) i.细胞长满至80%–90%时,加入accutase消化5-10min ii.将消化的细胞转移至1.7ml离心管,750g离心5min iii.取沉淀,加入25ml蛋白酶抑制剂 iv.超声破碎后,750g离心1min, 将上清转移至新的离心管待用 b)脑组织蛋白提取(3+h) i.将新鲜冻存的脑组织置于离心管中准确称量 ii.加入组织提取液,超声破碎后,置于冰上30min充分裂解 iii.转移组织裂解液到新的离心管并称重 iv.15000g离心90min,转移上清到新的离心管待用 02 二、将样品按顺序点到NC膜上(2.5+h) 1) Bradford蛋白定量后,将浓度调整为0.1ug/ul 2) 根据样品数量准备合适大小NC膜(0.45um), TBS中水化10min 3) 各取10ul样品,利用BIO-DOT微量过滤器将样品点到NC膜上,之后风干1h 03 三、Revert 700 总蛋白染色(1h) 1)在15ml超纯水中重新润湿膜 2)加入5-10ml Revert 700 总蛋白染色液,室温震荡5min 3)弃去染色液,加入10-15ml漂洗液,室温震荡1min 4)弃去漂洗液,加入15ml超纯水,室温震荡1min 5)立刻在LI-COR Odyssey CLx 近红外荧光成像系统上成像 6)加入5-10mlReversal,室温震荡5-7min 7)弃去Reversal,加入15ml超纯水,室温震荡1min 8)再次在LI-COR Odyssey CLx 近红外荧光成像系统上成像 04 四、抗体杂交(1h,过夜) 1)加入10ml Intercept (TBS) 封闭液,室温震荡45-60min 2)弃去封闭液,加入一抗,4°过夜震荡孵育 3)15ml TBS +0.1% Tween-20 (TBST)洗膜10min,重复三次 4)加入IRDye二抗(1:10000),室温孵育1h 5)15ml TBST洗膜10min,重复二次,15ml TBS洗膜一次(10min) 6)使用相同的成像参数成像 05 五、定量与数据分析 使用LiCor 的Image Studio 软件定量分析蛋白表达情况。 图示神经细胞裂解液Dot Blot检测实验。(A)总蛋白染色后成像(红色);(B) 洗去总蛋白染料后成像(背景);(C) 一抗、二抗孵育后成像(绿色)。一抗使用的是mouse-anti Map2 (Invitrogen, MA5-12826) (1:1,000),二抗使用的是goat-anti-mouse IRDye 800( 1:10,000)(LI-COR). 图示梯度稀释的小鼠小脑提取物Dot Blot总蛋白染色后成像分析过程。黄色圆圈指示Image Studio 软件选定的蛋白区域。每列斑点荧光强度均一,提示定量结果准确。 图示预期得到的数据展示。该数据从Image Studio 软件自动生成的excel表格中复制得到。 图示总蛋白均一化定量分析过程及结果展示。该数据从Image Studio 软件自动生成的excel表格中复制得到。 了解CELL杂志的小伙伴可能知道,STAR Protocol意在向研究者提供Stuctured(结构化)、Transparent(透明化)和Accessible Reporting(可访问的)的学术报告。因此,除了常规的实验protocol外,该STAR Protocol还将研究中使用的关键试剂、抗体来源、以及生物软件等整理成为清晰的“关键资源表”,供研究者参考。细心的读者已经发现,该实验方法除了使用了LI-COR的近红外成像设备Odyssey CLx, protocol中用到的关键试剂、软件、操作方法均来自LI-COR公司。 LI-COR Biosciences公司在近红外荧光成像领域已有25年的丰富历史,Odyssey ®系列双色红外激光成像系统由于拥有6log的更宽的动态范围,能够实现可重复的、准确的蛋白定量。同时,LI-COR公司还提供蛋白定量所需的抗体、封闭液、总蛋白染色kit等试剂,以及与Nature等顶级期刊合作研发的专业的蛋白表达分析软件Empiria Studio,其相关文献发表量已经超过20,000篇。 参考文献 Anna C. Chlebowski, Glen E. Kisby,Protocol for High-Throughput Screening of Neural Cell or Brain Tissue Protein Using a Dot-Blot Technique with Near-Infrared Imaging, STAR Protocols,Volume 1, Issue 2, 2020,100054, ISSN 2666-1667, https://doi.org/10.1016/j.xpro.2020.100054. 基因有限公司作为LI-COR产品中国区代理商,与LI-COR一起邀请您关注近红外荧光成像技术在高通量蛋白筛选,Western Blot准确定量、磷酸化等蛋白修饰化研究、In-Cell Western、蛋白芯片及光免疫疗法等方面的应用进展。欲进一步了解详细内容,请关注我们的官方微信“基因快讯”或联系您身边的基因有限公司工作人员。 扫二维码|关注我们







\r\n\n", 3,$destination); ?>