技术交流

扫描二维码
或添加“GeneGroup003”
获取更多更新资讯
商城订购

扫描二维码
或添加“基因商城(GeneMart)”
手机下单,快人一步
售后服务

扫描二维码
或添加“GeneGroup005”
获取更快速售后支持
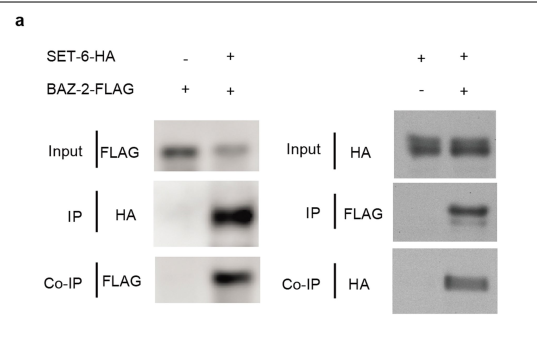
中国科学家Nature Article:Odyssey 定量Western Blot助力抗衰老研究
2020年2月27号,中科院脑科学与智能技术卓越创新中心蔡时青课题组与中科院上海巴斯德研究所江陆斌课题组联合在 Nature杂志发表题为Two conserved epigenetic regulators prevent healthy ageing的文章,探讨新的抗衰老靶基因,该文章具有重大的应用价值和意义。其中Odyssey 双色红外激光成像系统因在Western Blot成像中具有准确定量的特点而被Nature 杂志推荐认可。

Nature杂志对Western Blot定量的要求
关于LI-COR Biosciences
LI-COR Biosciences公司作为近红外荧光成像的创始者,在近红外荧光成像领域已有25年的丰富经验,25年来,LI-COR Odyssey ®双色红外激光成像系统由于可实现Western Blot精确定量,多重Western Blot检测,提高重复性,得到了Nature、JBC等主流杂志的推荐认可,得到了全球生物医学研究人员的信赖。 丰富的应用
LI-COR Biosciences公司作为近红外荧光成像的创始者,在近红外荧光成像领域已有25年的丰富历史。LI-COR 与基因有限公司的目标是希望帮助您解决Western Blot实验中的问题,帮助您获得符合杂志发表要求的可重复Western Blot数据。 基因有限公司作为LI-COR产品中国区代理商,与LI-COR一起邀请您一同关注近红外荧光成像技术在Western Blot准确定量、磷酸化等蛋白修饰化研究、In-Cell Western、双色EMSA、蛋白芯片及光免疫疗法等方面的应用进展。欲进一步了解详细内容,请关注我们的官方微信“基因快讯”或扫描下方二维码 ,技术人员将为您提供一对一技术支持。
参考文献:
[1]Jie Yuan,Si-Yuan Chang, Shi-Gang Yin. et al. 2020.Two conserved epigenetic regulators prevent healthy ageing. Nature. volume 579, pages118–122(2020)

\r\n\n", 3,$destination); ?>