技术交流

扫描二维码
或添加“GeneGroup003”
获取更多更新资讯
商城订购

扫描二维码
或添加“基因商城(GeneMart)”
手机下单,快人一步
售后服务

扫描二维码
或添加“GeneGroup005”
获取更快速售后支持
MMI激光显微切割在植物研究中的应用
MMI激光显微切割在植物研究中的应用 学术分享|作者:基因市场部

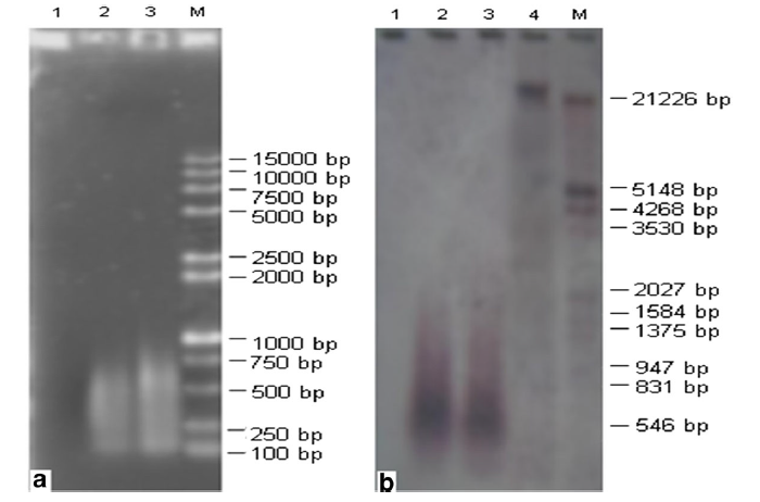
作者表示染色体激光显微切割技术是细胞遗传学研究中最重要的技术之一,该技术可以促进棉花基因克隆,分子标记开发,甚至对棉花基因组研究和育种都有重要的促进作用。 实验方法 MMI激光显微切割的应用 图1.通过CellCut Plus激光显微切割系统切割并收集单个单染色体。a.带有单染色体的减数分裂中期I染色体膜片;b.带有切割下来的单染色体的减数分裂中期I染色体膜片;c.收集管盖上采集的染色体。箭头表示Ah01染色体,径度:5μm 这里可以看到单体染色体非常的小,与其最近的染色体位置距离也比较近,但本文使用的对陆地棉有丝分裂中期单染色体进行激光显微切割的系统,是来自德国MMI的激光显微切割系统,它可以直接切割目的位置的组织或细胞,且能在收集管盖上进行清晰的观察,继而通过LA-PCR等方法,获得较原始、较真实的基因组学数据,具有较高的切割效率和收集成功率。 图2.P1/P2引物PCR产物琼脂糖凝胶电泳(a)和Southern blotting (b)。A-1, B-1:阴性对照;A-2, B-2:单条Ah01染色体作为DNA模板;A-3, B-3:阳性对照使用10 pg陆地棉基因组DNA作为模板;B-4:EcoRI酶切了陆地棉的基因组DNA;M:DNA maker. 图3:单染色体库SSR引物扩增产物的PAGE。1-9:其他部分染色体的SSR引物扩增产物与Ah01染色体特异性引物相结合;10:单染色体池中Ah01染色体专用引物的SSR引物扩增产物(箭头所示);11:阴性对照;12:阳性对照;M:DNA maker. 图4:第二轮LA-PCR产物的原位荧光杂交信号。a.DAPI染色的染色体;b.LA-PCR II产物信号(红色);c.来自染色体Ah01特异性BAC的信号(绿色,箭头所示);d.dual-FISH荧光信号。 图5.与其他物种单染色体RGA核苷酸序列的聚类分析 本文得出的结论 文献引用: Xinchuan Cao1,2†, Yuling Liu2,3†, Zhen Liu3, Fang Liu2, Yalei Wu4, Zhongli Zhou2, Xiaoyan Cai2, Xingxing Wang2,Zhenmei Zhang2, Yuhong Wang2, Zhimin Luo3, Renhai Peng2,3* and Kunbo Wang2*, Microdissection of the Ah01 chromosome in upland cotton and microcloning of resistance gene anologs from the single chromosome.Cao et al. Hereditas (2017) 154:13 如有侵权,请联系作者删除。 有需要请联系下方技术人员微信














\r\n\n", 3,$destination); ?>