技术交流

扫描二维码
或添加“GeneGroup003”
获取更多更新资讯
商城订购

扫描二维码
或添加“基因商城(GeneMart)”
手机下单,快人一步
售后服务

扫描二维码
或添加“GeneGroup005”
获取更快速售后支持
有了这款“通用身份证”,再也不担心CAR-T细胞进了肿瘤却“隐身”了
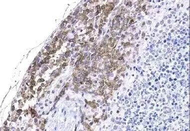
消失的CAR-T细胞 “明明回输了2亿CAR-T细胞,小鼠肿瘤却越长越大!” 张教授盯着实验数据百思不得其解:体外实验时,CAR细胞精准识别并杀光了胃癌细胞;活体实验中,肿瘤组织切片却找不到CAR细胞踪迹。 “细胞究竟去哪了?是迷路了,还是被‘团灭’了?” 为解答这个问题,团队试遍了传统方法: ◾ 定制抗体 → 等了4个月,花费过十万 ◾ RNA原位杂交 → 结果模糊,疑似假阳性 ◾ 流式细胞术 → 只能检测血液中的细胞 “钱和时间砸进去,肿瘤里的CAR细胞依然‘神隐’!” 直到近日在美国癌症研究协会(AACR)年会遇上Cell Signaling Technology(CST)—— “为什么非要盯着CAR的‘脸’(scFv)?所有CAR 都有通用‘身份证’(G4S/Whitlow接头)!” 这句话让团队豁然开朗: ✅ 无需为每种CAR定制抗体 ✅ 一套工具兼容所有基于scFv的CAR ✅ 直接定位实体瘤中的细胞 NEXT 靶向接头序列的“万能钥匙” CST全球创新方案 创 新 ◾ 抛弃“一CAR一抗体”模式! ◾ 独家开发抗CAR接头抗体:瞄准G4S或Whitlow/218接头(CAR分子中的“通用身份证”)。该产品荣获2023 CiteAb 创新奖。 ◾ 兼容多平台:流式、IHC、ELISA、细胞分选。 实体瘤战场:让看不见的CAR 细胞“显形” 肿瘤渗透验证 全球首款IHC-P验证抗体: Witlow/218 Linker(F2G3S)Rabbit mAb #47414 直接在FFPE实体瘤切片中定位CAR细胞,避免RNA原位杂交的假阳性风险 IHC-P:适用#47414对NSG小鼠脾脏中经异种移植的Raji B细胞淋巴瘤进行免疫组织化学分析,该小鼠脾脏中灌注了靶向CD19的原代人类CAR-T细胞 微环境全景解析 SignalStar™多重荧光IHC:同步标记多达8种生物标志物(如CAR细胞+CD8+T细胞+癌细胞等) 助您看清“CAR细胞如何与肿瘤微环境的对话” SignalStar™Oligo-Antibody Pair 组合(左),缓冲液试剂盒(右) 简化的CAR细胞检测 开发特异、灵敏的抗独特型抗体来检测 CAR工程化细胞可能会是一个漫长且耗费资源的过程。CST专注于该过程中的一个关键步骤,并开发了一套专门用于CAR细胞表征的研究工具。无论您的目标是对CAR工程化细胞进行检测、分析、定量、纯化,还是在转化组织学的背景下对其进行研究,CST®解决方案均可简化您的表征工作流程。 检测:评估 CAR 和靶抗原表达 CAR 检测 CAR 检测对照 靶抗原检测 分析:探究免疫细胞的激活、增殖、 活力和信号转导 T 细胞激活 细胞增殖 细胞毒性 免疫表型分析 下游信号转导解析 定量:定量 CAR 表达和转导效率 测定 CAR 分子的密度 检测 CAR 转导效率 纯化:富集 CAR+细胞 基于微球的分选 基于 FACS 的分选 转化:确定 CAR 工程化细胞是否 进入肿瘤微环境 检测 CAR+ 细胞对组织的渗透 探究肿瘤微环境 认准CST授权一级代理商——基因有限公司 欲了解更多产品详情,请扫码添加您的专属技术顾问,基因有限公司将以热忱与专业,为您提供最优质的服务!













\r\n\n", 3,$destination); ?>