技术交流

扫描二维码
或添加“GeneGroup003”
获取更多更新资讯
商城订购

扫描二维码
或添加“基因商城(GeneMart)”
手机下单,快人一步
售后服务

扫描二维码
或添加“GeneGroup005”
获取更快速售后支持
【合作官宣】基因有限公司携手创芯国际,为您提供全自动3D细胞及类器官智能分析解决方案
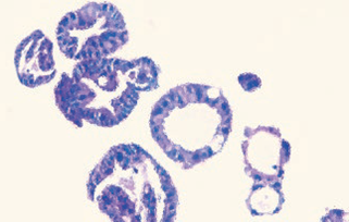
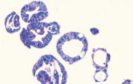
近日,基因有限公司与类器官领域创新型企业创芯国际达成合作,成为其授权代理商,负责奥图优®Accuauto全自动类器官智慧实验系统、奥图智®全自动3D细胞及类器官智能分析系统在中国市场的销售、推广及售后服务。 奥图优®Accuauto全自动类器官智慧实验系统/奥图智®全自动3D细胞及类器官智能分析系统是创芯国际自主研发的全流程自动化类器官培养及高通量药物筛选的一体化系统,可实现类器官从原代培养、模型构建、复苏传代到药物检测及评价等实验操作的全流程自动化。 奥图优®Accuauto/奥图智®集成了高通量样本前处理系统、自动化离心系统、类器官接种建模系统、类器官孵育系统、类器官活性检测系统、类器官AI计数及三维影像质控系统、高通量自动化类器官培养箱、高通量低温自动储板栈、全流程视觉识别及监控系统等10大功能区,通过智能实验室排成管理系统控制运行,支持通量测算及自动化报警复原。 奥图优®Accuauto是首个中国医疗器械认证的类器官自动化整机智能工作站。可应用于类器官培养、自动化药敏检测。单月检测样本可达300例、同时完成140例样本的多线程操作,进一步提升类器官应用的标准化和通量,降低基于类器官平台开展科学研究及样本库建立的成本和周期,有效推动类器官技术的深度产业化,帮助类器官培养药敏新范式实现自动化、智能化和标准化。 奥图智®搭载了高内涵成像模块,可实现高速度、高质量、高分辨率的类器官图像分析,助力科研人员深入探究类器官在疾病发育机制、疾病病理模拟以及新型药物研发等多个前沿领域的应用。 核心优势 类器官培养过程中, 即时、精准地评估类器官的增殖状态, 是进一步实验与分析的关键要素。传统目测评估手段缺乏客观评价标准并容易造成误判。 基于类器官模型明场及荧光显微图片的大数据库,通过深度学习的人工智能分析,AOAS图像质控分析系统可以准确识别类器官的数量、形态、尺寸等形态学参数,并通过类器官的圆度、透光度等特征分析类器官细胞活性。帮助研究者更客观、准确地了解类器官状态, 从而实现对类器官全生命周期进行实时、动态、无损的质量控制与分析。 特色的AccuPharm药敏分析系统支持多种类型药物同时测试的柔性需求,可实现小分子、大分子、基因药物及细胞药物的高通量筛选。 以全流程智能化管理为核心,深度整合视觉AI质控AI及药敏分析算法,支持多线程任务调度与异常预警,实现数据驱动的精准决策。配备可视化交互界面,兼顾灵活性与易用性;为类器官研究提供标准化、智能化的一站式解决方案。 精准捕捉细胞的细微变化,至多支持8个不同荧光通道,为药物筛选与精准医学研究提供多维度分析结果。 主要功能 01 全天候不间断自动化解决方案 专为类器官研究量身定制的自动化工作站,配备操作简便的成像设备和全流程实验方案,能够稳定执行换液、监测及传代等关键操作,保障类器官实验7×24小时不间断运行。这一功能不仅极大提升了实验效率与数据连贯性,还让科研人员无需时刻驻守实验室,可将精力聚焦于更具创造性的科研思考。 02 类器官研究的标准化流程保障 通过智能标准Protocol流程,加速类器官实验开发进程。系统提供实时反馈,并自动生成任务以解决实验中出现的问题,确保各环节严格遵循标准化流程。科学家能够充分利用内置和用户自定义的实验方案,轻松执行、导出和共享,有效减少实验误差,提升实验结果的可重复性与可比性。 03 深度学习辅助决策,实现智能优化与降本增效 工作站搭载基于图像的深度学习决策功能,能显著降低人为误差,优化人工操作时间分配。在试剂使用上更为精准,可节省试剂成本,全方位提高实验效率与质量。 AI算法自动分析类器官数据,其数据驱动的可视化工具,让科学家能直观洞察类器官的发育细节,基于精准数据做出更科学的决策。 04 实时追踪细胞进程,从培养到终点的全流程可视化 在统一的软件环境中,精准追踪类器官从起始培养到最终终点的完整进程。这一功能助力科研人员开展可追溯、可重复的细胞培养实验,充分满足各类终点检测实验的严格要求。强大的协作能力使得不同科研团队间可围绕类器官培养流程进行高效沟通与合作,推进科研项目顺利进展。 05 智能数据处理,高效数据转化与分析 运用先进的人工智能技术,快速将采集的图像转化为有价值的实验结果。搭配用户友好的工作流程设计,帮助科研人员更高效地获取实验结果,加速类器官研究的成果产出。无论是内置方案生成的数据,还是自定义实验产生的数据,都能在这一智能系统中有序处理,针对科学家所需的终点检测实验要求,提供可靠且可追溯的数据分析。 欲了解更多产品信息,请添加产品经理微信咨询! 关于基因 基因有限公司成立于1992年,是一家提供生命科学科研仪器、试剂耗材和技术服务的综合服务商。基于“Gene Brightens Every Life • BioTech Connects the World”——“基因燃亮生命 • 生物技术连接世界”的愿景,专注于生命科学领域前沿技术的引进和推广,致力于推动该领域国内科研机构硬件水平及实验方案的革新与升级。同时,公司也一直致力于自主品牌的科研设备的研发与生产,拥有一系列通用性强、互补性高的自主品牌产品。 基因的服务网络遍及全国各地十多个大中城市,拥有包括仪器销售,试剂销售,市场与技术支持,维修,客服,物流等多个部门组成的完整服务体系。 我们希望通过不懈努力,为您的成功铺路搭桥,也为中国的生命科学事业赶超世界先进水平尽一己之力。欲了解更多信息,请访问www.genecompany.cn。





















\r\n\n", 3,$destination); ?>