技术交流

扫描二维码
或添加“GeneGroup003”
获取更多更新资讯
商城订购

扫描二维码
或添加“基因商城(GeneMart)”
手机下单,快人一步
售后服务

扫描二维码
或添加“GeneGroup005”
获取更快速售后支持
基因有限公司携手德国百年MN,助您“轻松搞定”标签蛋白纯化!
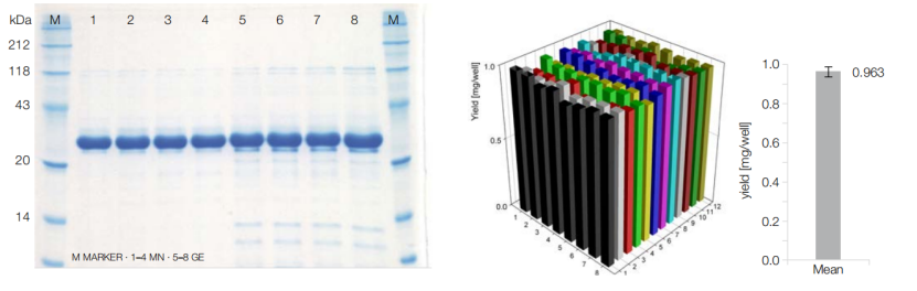
您是否还在烦恼蛋白纯化效率低? 您是否还在担心金属离子泄漏会干扰实验? 您是否遇到怎么纯化非特异性条带都居高不下的情况? 针对以上困扰,来看下百年技术传承的MACHEREY-NAGEL(以下简称MN)蛋白纯化产品是如何以高载量、高精度、高兼容破局! ➤ 低表达样本“逆袭”方案:优于传统Ni-NTA载量的层析介质,即使在极低表达量的样本,仍能高效捕获His-tag、GST-tag等目标蛋白,显著提升纯化浓度,告别“无效纯化”! ➤ 超低泄漏金属螯合柱:采用稳定性强化螯合介质,最大程度降低了金属离子脱落风险,避免杂质干扰,确保下游应用数据可靠性。 ➤ 双模式纯化,一柱兼容:天然条件与变性条件自由切换,特殊表面处理技术将非特异性吸附显著降低,复杂样本也能“纯净输出”! ➤ 灵活选择,效率翻倍:提供即用型预装柱与干树脂两种形式,5-10分钟复溶即可上样,适配高通量需求,助您抢占科研先机! 从疑难到高效,基因有限公司×MN让蛋白纯化回归纯粹! MN公司介绍 MACHEREY-NAGEL(MN)作为全球领先的生物技术公司,提供了一系列高性能的GST和His标签蛋白纯化产品,GST标签通过谷胱甘肽的特异性结合实现纯化,而His标签则利用金属离子亲和色谱(IMAC)技术,两者均具有高效、特异性强的特点。从树脂到预装柱,再到高通量筛选工具,MN的产品能够满足不同规模和需求的实验,确保高产量和高纯度的结果。 His标签蛋白纯化的首选方法,具有最佳性能 通用性强:适用于小型蛋白、大型蛋白复合物以及低表达率的蛋白; 高容量和高亲和力; 可在天然和变性条件下进行纯化。 (预申请试用装,请扫描文末二维码) 左图:Protino® Ni-NTA琼脂糖展现出最佳性能,与竞争对手Q的Ni-NTA琼脂糖相比具有类似的产量 ;右图:对于大型蛋白可获得更高的产量 高通量His标签蛋白纯化的首选方法 通用性强:适用于小型蛋白、大型蛋白复合物以及低表达率的蛋白; 可在天然和变性条件下进行纯化; 独特的Protino®纯化板:可无泄漏地处理96个样品。 左图:使用Protino® 96 Ni-NTA(MN)与His MultiTrap™ HP(GE)相比,进行His标签绿色荧光蛋白(GFP)的高通量纯化(1-4为MN,5-8为GE);右图:高通量筛选的孔间可靠性——各个孔之间具有一致性,每个孔的产量仅相差 2.7%(相对偏差) 实现最高蛋白质纯度的基质选择 最高的结合特异性:与其它常见的IMAC基质相比,非特异性结合的污染蛋白更少; 最小的金属离子泄漏:对还原剂或螯合剂具有高稳定性; 干树脂:可在室温下储存。 Protino® Ni-TED 硅胶珠的结构示意图:Ni²⁺离子的6个结合位点中有5个用于与TED(三(羧甲基)乙二胺)配体形成复合物,1个用于选择性结合His标签蛋白 实现His标签蛋白产量和纯度良好平衡的解决方案 即使在稀释样品中也能实现高蛋白回收率:存在三个用于His标签结合的选择性结合位点; 可在天然和变性条件下进行纯化; 干树脂:可在室温下储存。 Protino® Ni-IDA 硅胶珠的结构示意图:Ni²⁺离子的6个结合位点中有3个用于与IDA(亚氨基二乙酸)配体形成复合物,另外3个用于选择性结合His标签蛋白 最具成本效益的GST标签蛋白纯化的最佳选择 性能最高:与谷胱甘肽琼脂糖™ 4B/GSTrap™ 4B柱相当; 无需优化或更改体系:可直接替换您当前的产品; 适用于小型蛋白、大型蛋白复合物或低表达率的蛋白:通用性强。 Protino® GST/4B层析柱(MN)1 mL在ÄKTAprime™ plus系统上对重组谷胱甘肽S转移酶(Glutathione-S-Transferase)的纯化表现出高性能,产量和纯度与GE GSTrap™ 4B 1 mL层析柱相当 纯化不止于“完成”,更要“完美” 基因有限公司联手百年MN公司打造蛋白纯化标杆——从介质稳定性到流程智能化,每一处细节均经千次实验验证。无论您面对低浓度样本的“无力感”,还是金属离子泄漏的“隐形干扰”,我们以超低脱落螯合柱、超低吸附介质、双模式灵活适配,精准击破纯化盲点! 欲了解更多产品详情,请扫码添加您的专属技术顾问,基因有限公司将以热忱与专业,为您提供最优质的服务!











\r\n\n", 3,$destination); ?>