技术交流

扫描二维码
或添加“GeneGroup003”
获取更多更新资讯
商城订购

扫描二维码
或添加“基因商城(GeneMart)”
手机下单,快人一步
售后服务

扫描二维码
或添加“GeneGroup005”
获取更快速售后支持
助力mRNA疫苗研发:从模板到转录的全方位解决方案
mRNA技术自诞生以来一直在快速发展,尤其是在2020年全球新冠肺炎爆发之际,依托mRNA技术的mRNA疫苗以其抗原设计灵活性,可快速迭代筛选最佳免疫原、短时间内实现大规模生产等特点在众多研究管线中迅速脱颖而出。除疫苗外,mRNA技术也扩展到了包括传染病、肿瘤的预防性和治疗性疫苗、蛋白替代疗法、再生医学、基因编辑和细胞治疗等多个领域。


疫苗 前言
mRNA疫苗的最新应用
HiScribe® 系列,体外转录的理想选择
NEB HiScribe® T7 高效 RNA 合成试剂盒(NEB#E2040)
单次反应可获得多达180 μg 产物,或利用帽类似物合成带帽RNA,产量可达30-40 μg
可完全替换 NTP 进行标记和掺入修饰碱基
包含线性化对照模板,可用于验证 RNA 合成体系
含有DNase I 和LiCl,可去除DNA 模板和快速纯化RNA
NEB HiScribe® T7 快速高效 RNA 合成试剂盒(NEB#E2050)
NTP 预混液剂型减少了移液步骤,也可部分替代 NTP 进行标记和掺入修饰碱基

图1:以三种 DNA 为模板进行标准 RNA 合成反应的时间进程

图2:模板用量对 RNA 产量的影响

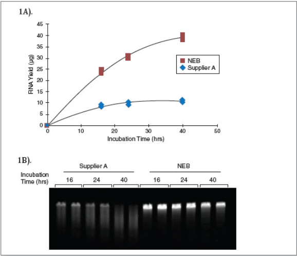
图3:延长转录反应时间可以提高 RNA 产量并保持完整性
使用 NEB 高纯 RNA 聚合酶,灵活建立反应体系
T7 RNA 聚合酶
使用 T7 噬菌体启动子进行体外转录
常规浓度的T7 RNA 聚合酶(NEB#M0251),高浓度版本(NEB#M0460)
适用于有经验的体外转录用户
从模板到转录,基因有限公司携手NEB 提供完整的mRNA体外合成解决方案

(图片可点击放大)
添加产品经理微信,了解更多产品详情!

\r\n\n", 3,$destination); ?>