技术交流

扫描二维码
或添加“GeneGroup003”
获取更多更新资讯
商城订购

扫描二维码
或添加“基因商城(GeneMart)”
手机下单,快人一步
售后服务

扫描二维码
或添加“GeneGroup005”
获取更快速售后支持
Covaris助力解锁异源四倍体植物组蛋白的修饰研究
研究背景

在微观生命的“密码库”里,植物细胞的一举一动都暗藏玄机。异源四倍体植物,这个基因组如同精密拼图、复杂程度超乎想象的“大家族”,其组蛋白修饰恰似拼图上关键的色彩标注,指挥着基因何时“发声”、怎样“行动”,主宰着植物生长、抗病、适应环境的千般变化。以往科研人员探寻这些神秘标注时,常困于工具局限,犹如在昏暗迷宫摸索。如今Covaris聚焦式超声技术宛如一盏明灯、一把精准手术刀,巧妙切入研究困局,照亮并剖析每一处组蛋白修饰细节,深挖异源四倍体植物生命运作底层逻辑。
本氏烟草作为一种古老的异源四倍体植物,研究其染色质有助于了解染色质修饰在多倍体植物基因调控中的重要性以及植物对环境适应的影响。然而,由于成熟本氏烟草叶片的淀粉性质,以往的ChIP实验方案并不适用,叶片中大量的淀粉与细胞核共沉淀时会影响下游实验的处理。针对这一问题,澳大利亚学者Buddhini Ranawaka等人在《An optimised chromatin immunoprecipitation(ChIP)method for starchy leaves of Nicotiana benthamiana to study histone modifications of an allotetraploid plant》一文中首先提出了一种针对成熟本氏烟草淀粉质叶片的ChIP,而这一优化方法离不开Covaris的“保驾护航”。

部分结果展示

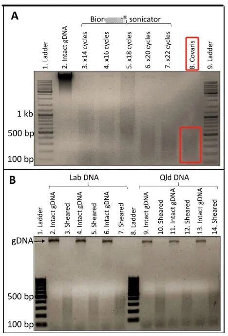
1
使用Covaris剪切可获得较高的准确性和重复性


图中所示为某B品牌与Covaris剪切效率对比图。A图表示当需要剪切片段大小范围在100-800bp时,使用某B品牌剪切gDNA需要做循环梯度,最终需要20至22个循环;使用Covaris只需要按照150bp剪切标准对仪器进行设置即可满足实验数据要求。B图表示使用Covaris 150bp标准设置剪切Lab和Qld完整的gDNA,每组进行三个重复,由图中可以得出Covaris有着良好的重复性。
2
使用Covaris处理可有效节省时间



文章中关于剪切时间有详细的表述,使用某B品牌进行20至22个循环,所用时间约为60min,而使用Covaris进行剪切则仅需5min32sec。同时,使用某B品牌处理样品时,需要根据个人经验确定最佳超声处理循环数;Covaris不仅可以一次性优化好实验流程,得到预期的数据结果,并且这一结果有着较好的重复性。
参考文献:https://link.springer.com/article/10.1007/s11033-020-06013-1

Covaris提供稳定的染色质剪切结果
染色质剪切是ChIP实验中至关重要的一步,直接决定了ChIP实验能否成功。Covaris AFA聚焦超声系统,是在传统超声波处理基础上的技术革新,通过球面固态超声波发生器将声波聚焦到样本区域,对样本进行处理。
①可将染色质片段化为300~600bp之间,片段分布均匀,重复性高;
②温度恒定,保护蛋白抗原表位,提高IP和DNA回收率;
③非接触式处理,无交叉污染;
④高频低能的聚焦声波,以较低的能量输入获得良好的处理效果,避免传统超声能量过剩可能引起的样本处理过度及热损伤;

⑤通量可扩展,从单个样本到96个样本,Covaris 提供多种型号设备。
Covaris在染色质剪切方面能够实现良好的重复性,剪切无偏好,片段长度分布均匀,提供高效可控、重复性优良的样本处理方案,为后续的IP以及数据分析打下良好的基础。
基因有限公司作为Covaris在中国的合作伙伴,致力于为您提供更完整的样本前处理解决方案。邀您一同关注我们的官方微信“基因快讯”,如需要进一步资料,可留言或者直接联系基因有限公司各地办事处。
\r\n\n", 3,$destination); ?>