技术交流

扫描二维码
或添加“GeneGroup003”
获取更多更新资讯
商城订购

扫描二维码
或添加“基因商城(GeneMart)”
手机下单,快人一步
售后服务

扫描二维码
或添加“GeneGroup005”
获取更快速售后支持
极高纯度,快速连接——不是每款 T4 DNA连接酶都能成为「经典」!


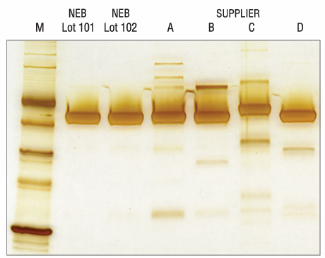
超高纯度,稳定可靠! 等量的蛋白质上样,使用 SilverXpress™ 进行银染检测。 Marker M 为 NEB Broad Range Protein Marker (NEB #P7702)。

无核酸酶污染! 使用不同生产商提供的 T4 DNA 连接酶与末端含荧光标记的各种寡核苷酸分子进行反应:包括单链、双链平末端、3´ 突出或5´ 突出片段。 若 T4 连接酶中含有核酸酶污染物,将造成片段降级。降解片段所占比例可通过毛细管电泳检测,根据峰值进行判断。解析度为单核苷酸水平。


NEB 50周年庆——全线产品买赠有礼活动火热进行中!快来赶上2024年最后这波好价末班车啦
!(戳我了解活动详情~)
基因有限公司作为 NEB 全国一级代理商,为您提供专业的产品与服务!
欢迎添加产品专员, 了解更多产品信息!

\r\n\n", 3,$destination); ?>