技术交流

扫描二维码
或添加“GeneGroup003”
获取更多更新资讯
商城订购

扫描二维码
或添加“基因商城(GeneMart)”
手机下单,快人一步
售后服务

扫描二维码
或添加“GeneGroup005”
获取更快速售后支持
全新Image Stiching:开启微观视界全景之旅
Introduction
NEWS
”
显微成像分析软件的 image stitching(图像拼接)功能是一种将多个局部图像拼接成一个更大、更完整图像的技术。旨在突破显微镜有限视场(Filed Of View,FOV)的限制,这对于观察较大的样本或需要整体把握样本结构非常有用。
对于image stiching的要求通常有:
拼接真实无缝
稳定均一的图采集条件与精确稳健的拼接算法。
高分辨率
拼接后图像的分辨仍需保持较高水平。可以清晰地显示样本的细节,不会因为视野的扩大而损失图像质量。
操作简单且自动化
只需简单设置拍摄和拼接参数,显微镜能自动采集多个局部图像并进行拼接。
CELENA®X 自动显微成像系统可以完全满足以上要求,自定义拍摄视野范围,对成像对象的多区域进行连续拍摄,获取多个局部图像。并自定义FOV的叠加区域百分比。CELENA®X Cell Analyzer分析软件会从每个图像中提取特征点,这些特征点可以是图像中的特定图案、颜色变化或边缘等。根据特征点,软件将不同的图像进行匹配,确定它们之间的相对位置关系。一旦图像的位置关系确定,软件会将它们融合在一起,消除重叠区域的接缝,形成一个无缝的拼接图像。

因此CELENA®X 非常适合用于组织切片、类器官等较大的样本的成像,用于了解样本中细胞的分布、组织结构;也可用于培养细胞孔板的整孔or整板扫描,从整体观察细胞的分布、群体结构(如成管实验、划痕实验)的变化。在接下来的内容中,我们展示了CELENA®X Cell Analyzer软件无缝图像拼接形成高分辨率全景图像的能力。

实验1:组织切片拼接成像
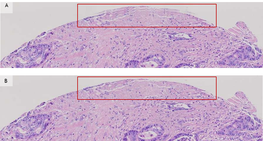
图像拼接算法是根据图像之间整体外观的相似性对图像进行配对。一般来说,图像拼接是按照图像保存的顺序进行的。但是这种策略可能导致沿着图像边界出现不必要的视觉伪影,尤其是图像中没有明显的特征时。这个是图像拼接算法的一个常见问题(图1A)。CELENA®X Cell Analyzer软件解决这个弊端的办法是先组装特征区分明显的图像,而不是按照保存图像的顺序。因此,它能对不太容易区分的图像进行无缝的拼接(图1 b)。

图1.(A)拼接后的最终结果表明,在使用原图像拼接算法时,拼接后的图像是不对齐的。(B)使用先进的专有算法拼接图像的最终结果显示无缝图像。(1500 x 375像素)。
比较CELENA®X Cell Analyzer软件和A公司的软件的图像拼接质量。利用同一样本中获得图像,对图像拼接算法进行比较。A公司软件拼接的图像存在畸变和错位误差,难以准确理解每个样品的整体形态。(图2)。然而CELENA®XCell Analyzer软件成功生成无明显误差的无缝图像(图2B)。

图2.(A)H&E染色切片的图像拼接结果:公司A的图像结果显示不齐和失真问题,CELENA®X Cell Analyzer软件拼接无缝图像(301 X 423像素)。(B)使用小鼠脑样本的图像拼接结果:A公司的图像结果与使用CELENA®X Cell Analyzer软件的结果图像和无缝图像结果相比,显示出不对齐和失真问题(471 x 662像素)。

实验2:整孔整板扫描拼接成像
CELENA®X自动化成像系统专为体外科学实验设计。可通过CELENA®X Cell Analyzer软件选择并成像多孔板和培养皿上感兴趣的细胞区域。利用这一优点,采用多通道图像进行全孔拼接,显示出较好的图像效果和拼接性能(图3)。

图3.(A)96孔全板拼接成像结果。(B)在明场成像下96孔板其中一个孔的拼接图像(11336 x 11788 像素)。(C)从红色方框标记的区域获得多通道图像。

实验3:类器官大视野拼接
类器官培养是一种模拟人体生理条件的三维细胞培养技术。由于这一特性,使用类器官培养的实验提供了与体内实验相似的结果。免疫荧光染色可视化分子标记的类器官样品很适合用拼接成像的技术来进行观测。使用CELENA®X自动化成像系统可对类器官进行多通道成像并进行图像拼接(图4)。

图4.拼接后的图像进行含明场(A)和不含明场(B)的多通道叠加。(C)红框区域的的多通道图像。

结论
本篇推文中展示了具有先进图像算法的CELENA®X Cell Analyzer软件与其他公司广泛使用的图像拼接算法相比,CELENA®X Cell Analyzer软件的能够精确、无缝地进行图像拼接。其优异的性能在整个96孔板上进行成像以及使用类器官样品成像得以确认,这将有利于研究人员和科学家捕捉清晰无缝的全景图像,对生物样品进行整体水平的高分辨的探究。
更多拼接图片展示

蕨类植物切片

小鼠大脑组织冠状荧光切片(10X)

小鼠小肠组织荧光切片(10X)

组织芯片扫描图像

小鼠睾丸组织HE染色切片(20X)


CELENA®X拥有基于图像和激光的自动对焦模块,以及全电动的XYZ移动载物台,大大简化了多孔板扫描以及切片扫描的时间。无论简单的固定细胞分析还是复杂的、延时活细胞分析,强大而灵活的软件都可以让你建立高级图像分析程序,用来定量分析固定细胞和活细胞的特征。CELENA®X是药物发现与生命科学研究的有利工具。



自动化成像系统
四种成像模式

4通道荧光、明场、彩色明场、相差成像。
全自动的孔板扫描

全自动的孔板扫描,电动XYZ载物台,自动的光源、荧光通道和物镜切换。
基于激光的快速自动对焦

除了基于图像的自动聚焦还支持基于激光的快速和可重复的自动聚焦,减少光毒性和光漂白,加快拍摄速度。
强大易用的采集和分析软件

简单直观的成像protocol设置,与分析流程无缝衔接。
自定义的高内涵分析

自定义的高内涵分析流程,基于表型批量分析多通道成像图片。
支持活细胞成像

载物台孵育系统适适用于各种生理或非生理条件下的成像实验。
多种配件可选

多种适配器:
显微玻片、腔室玻片、各种规格培养瓶、培养皿、6-1536多孔板。
多种物镜:
1.25-100x放大倍数的空气镜或油镜可选。
可置换荧光光立方:
12种不同波段的光立方,覆盖市面上常见的荧光染料的波长,支持特殊波段光立方定制,用户可在实验室自主完成滤镜更换。

如果您对以上产品感兴趣,请扫码添加工作人员企业微信咨询

关于基因 基因有限公司成立于1992年,是一家提供生命科学科研仪器、试剂耗材和技术服务的综合服务商。基于“Gene Brightens Every Life • BioTech Connects the World”——“基因燃亮生命 • 生物技术连接世界”的愿景,专注于生命科学领域前沿技术的引进和推广,致力于推动该领域国内科研机构硬件水平及实验方案的革新与升级。同时,公司也一直致力于自主品牌的科研设备的研发与生产,拥有一系列通用性强、互补性高的自主品牌产品。 基因的服务网络遍及全国各地十多个大中城市,拥有包括仪器销售,试剂销售,市场与技术支持,维修,客服,物流等多个部门组成的完整服务体系。 我们希望通过不懈努力,为您的成功铺路搭桥,也为中国的生命科学事业赶超世界先进水平尽一己之力。欲了解更多信息,请访问www.genecompany.cn。
\r\n\n", 3,$destination); ?>