技术交流

扫描二维码
或添加“GeneGroup003”
获取更多更新资讯
商城订购

扫描二维码
或添加“基因商城(GeneMart)”
手机下单,快人一步
售后服务

扫描二维码
或添加“GeneGroup005”
获取更快速售后支持
Western Blot使用Odyssey近红外荧光检测,高分文章不用愁
你是否还在为 Western Blot 实验的重复性问题感到困扰?是否在追求完美条带的过程中一再重复实验却始终无法如愿?在研究蛋白质翻译后修饰时,你是否还在使用传统的平行试验方法?如果你渴望获得精准且完美的条带,Li-Cor Odyssey 将为你提供解决方案。

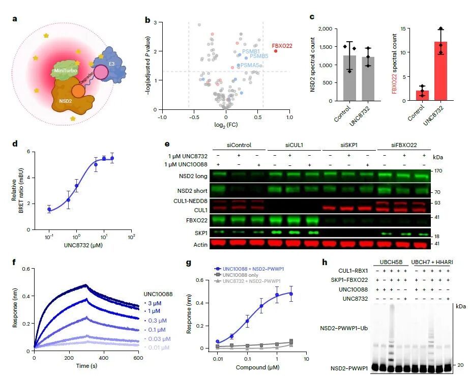
上图完美的Western Blot条带出于Nature Chemical Biology 上的文章:“Recruitment of FBXO22 for targeted degradation of NSD2”。本篇文章作者描述了一种靶向蛋白质降解(TPD)策略,涉及招募FBXO22诱导组蛋白甲基转移酶和致癌基因NSD2的降解。在携带NSD2功能获得性突变p.E1099K的急性淋巴细胞白血病细胞中,UNC8732促进FBXO 22介导的NSD2降解,导致生长抑制、细胞凋亡和耐药性逆转。在文中RCH-ACV,U2OS, MCF7和293 T-REx细胞裂解物免疫印迹均是使用近红外激光成像系统Li-Cor Odyssey CLx完成。
Odyssey CLx

部分结果展示 1 UNC8732靶向急性淋巴细胞白血病细胞NSD2突变体
UNC8732能够降解NSD2突变的急性淋巴细胞白血病细胞(ALL)中的NSD2。在NSD2 p.E1099K突变细胞中,相对于NSD2 WT细胞显示高水平的H3K36me2和低水平的转录抑制H3K27me3,这种表观遗传模式在NSD2降解后得以逆转。除了诱导细胞凋亡和降低细胞活力外,UNC8732还能够有效克服NSD2 p.E1099K突变ALL细胞对糖皮质激素(GC)治疗的耐药性,这一特性在复发性ALL的临床治疗中具有重要意义。
2 醛代谢物驱动NSD2降解
基于液相色谱-质谱(LC-MS)的代谢物鉴定研究一代降解剂UNC8153和第二代降解剂UNC8732均发现发现了一种代谢物,与伯胺转化为醛相对应,并且发现FBS中的胺氧化酶负责这种转化。作者合成并分离了水解不稳定的醛的前药UNC9801和UNC10088,发现UNC10088与UNC8732不同,它不依赖于FBS的存在来促进NSD2的降解(图2j),相应的UNC8153的酸类似物,它没有促进NSD2的降解,排除了醛进一步氧化在观察到的降解中起作用的可能性。这些结果证实了含胺的NSD2降解物作为前药起作用,需要代谢成相应的醛才能发挥活性。
3 UNC8732募集SCFFBXO22泛素连接酶复合物
之前已经证明,UNC8153和UNC8732以蛋白酶体和泛素化依赖的方式起作用。利用生物素标记识别技术(BioID)和质谱联用(MS/MS)在蛋白质组范围内寻找参与降解NSD2的候选泛素E3连接酶,发现FBXO22、PSMB1、PSMB5和PSMA5均有所增加。后续使用NanoBRET蛋白-蛋白相互作用实验,证明UNC8732介导的FBXO22向NSD2的募集。

总结 近红外激光成像系统Li-Cor Odyssey DLx是Odyssey CLx的更新版,其采用的是近红外荧光成像。传统的化学发光是基于辣根过氧化物酶的原理,会受到底物浓度、温度、时间的影响,因此使用化学发光成像时,成像时间很重要,而近红外荧光成像的信号是稳定的,相比于化学发光定量更准确。Li-Cor Odyssey DLx拥有双激光器双检测器,特别是针对蛋白翻译后修饰研究时,可同一张膜同时成像多个蛋白,减少了平行胶和抗体剥离再孵育带来的操作误差,使Western Blot数据的定量更准确,重复性更高。如文中H3K36me2和H3K36me3的甲基化水平研究,更能发现细小差异。 Li-Cor Odyssey DLx和CLx还拥有更宽的动态范围达6个数量级,能保证仪器检测到低信号时强信号不过曝,更适合药物浓度跨度较大的高通量研究。如文中使用的In-Cell Western (ICW)测定的半数最大降解浓度(DC50)值和最大降解水平(Dmax)。 Odyssey®的丰富应用 LI-COR Biosciences公司的Odyssey® 红外激光成像系统可以实现定量Western Blot检测,具有重复性好、定量准确、 多色荧光成像、背景低、灵敏度高、可直接检测、应用范围广等多种优势,其不仅可以进行孔板的In-Cell WesternTM检测,还可以实现近红外荧光Western Blot、可见荧光Western Blot 、组织切片成像、On-Cell Western、EMSA/凝胶迁移实验、荧光蛋白质芯片、荧光核酸芯片、考染胶成像、器官成像等多种应用。 快来联系技术人员一对一咨询吧!

关于基因 基因有限公司成立于1992年,是一家提供生命科学科研仪器、试剂耗材和技术服务的综合服务商。基于“Gene Brightens Every Life • BioTech Connects the World”——“基因燃亮生命 • 生物技术连接世界”的愿景,专注于生命科学领域前沿技术的引进和推广,致力于推动该领域国内科研机构硬件水平及实验方案的革新与升级。同时,公司也一直致力于自主品牌的科研设备的研发与生产,拥有一系列通用性强、互补性高的自主品牌产品。 基因的服务网络遍及全国各地十多个大中城市,拥有包括仪器销售,试剂销售,市场与技术支持,维修,客服,物流等多个部门组成的完整服务体系。 我们希望通过不懈努力,为您的成功铺路搭桥,也为中国的生命科学事业赶超世界先进水平尽一己之力。欲了解更多信息,请访问www.genecompany.cn。
\r\n\n", 3,$destination); ?>