技术交流

扫描二维码
或添加“GeneGroup003”
获取更多更新资讯
商城订购

扫描二维码
或添加“基因商城(GeneMart)”
手机下单,快人一步
售后服务

扫描二维码
或添加“GeneGroup005”
获取更快速售后支持
【技术分享】近红外荧光WB困难?我们来帮您!
Western Blot (WB) 是分子生物学的经典方法,被广泛应用于检测细胞或组织样本中特定蛋白表达水平或者修饰情况。大家熟知的WB成像,一般采用ECL化学发光法,但温度、酶活性、pH值及曝光时间等因素都会对图像质量和定量结果有很大影响。 相对于ECL方法,近红外荧光成像WB实验(NIR WB)具有以下优势: 1. 可以直接检测,不需要ECL发光液; 2. 线性范围宽,荧光信号稳定,定量更准确,重复性更好; 3. 双色成像,一张膜上同时检测两种以上蛋白,省时省力; 4. 兼容多种均一化方法,不仅可以选择内参,还可以选择总蛋白。
美国LI-COR公司的Odyssey系统采用近红外荧光成像技术,可获得稳定且可重复的实验数据。
其宽广的动态范围,在一次扫描即可成像的同时,能够获得高丰度和低丰度蛋白的表达信息,避免信号的饱和;双色或多色的检测方式可在单次实验中同时检测多个目标信号,保证实验结果的一致性,更符合期刊杂志对Western Blot数据发表的要求。

读到这里,想必大家已经了解近红外荧光WB的优势了,但是对于荧光WB实验来说,整个流程中任何细小的操作都可能影响实验结果。 那么,如何更好地完成近红外荧光WB实验呢?今天小编就给大家带来一些实验tips,为您的实验排忧解难
!也欢迎大家和我们交流您在实验中遇到的问题(文末),我们会为您提供更优的解决方案!
上样
1 Loading Buffer的选择
常用的Blue loading buffer 含有的溴酚蓝成份会在700nm通道中成像Smear 信号,从而影响实验结果。因此,建议选择LI-COR 4X Protein Sample Loading Buffer,此buffer的指示剂为Orange G,在成像时不会产生干扰信号。

4X Protein Sample Loading Buffer for Western Blots (928-40004)
2 确定上样量
蛋白连续稀释上样,根据结果确定最佳上样量和线性区间。线性区间是条带强度与膜上目标蛋白量成比例的区域。随着蛋白量增加,条带强度应该增加。在线性范围内上样,WB定量才是真正准确。
水通道蛋白5在小鼠肺细胞裂解液中的表达
转膜
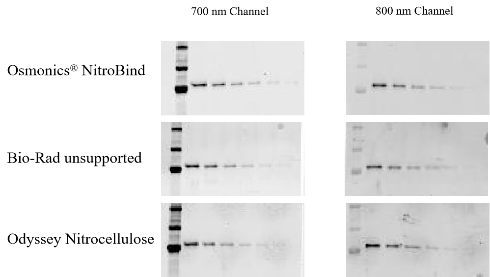
1 选择合适的膜 控制荧光背景是近红外荧光Western blot成功的关键。荧光背景可归因于膜自发荧光或者抗体与膜的非特异性结合。经过测试,Immobilon®-FL PVDF膜和NC膜在Odyssey系统上背景更低。 PVDF膜
NC膜
2 注意膜的规格
膜有两种规格,0.45µm的膜适用于大于20KDa的蛋白质,0.2µm的膜适用于小于15KDa的蛋白质。
3 转膜后
转膜完成后,推荐使用REVERT™ 700 Total Protein Stain and Wash Solution Kit( 926-11015)进行总蛋白染色。 现在《Nature》,《JBC》,《JCB》等主流期刊明确规定Western Blot进行均一化时,要求选择不受实验条件影响的方法。 LI-COR根据学术期刊对WB结果发表的要求,推出LI-COR Revert Total Protein Stain 。Revert Total Protein Stain可为浓度范围较宽的样品提供线性信号,优势如下: (1)快速和兼容 在PVDF或NC膜上,10分钟内实现总蛋白染色。 (2)可靠的分析 与看家蛋白不同,总蛋白均一化不受生物学变异的影响。 (3)准确的均一化 在1-60μg的宽线性范围内,可以很容易地在相同的线性范围内检测总蛋白和目的蛋白,实现精确的均一化。
封闭
1 选择合适的封闭液
BSA可能含有IgG或其他血清蛋白等污染,这些蛋白可以与某些抗体发生交叉反应,增加非特异性信号,不推荐使用。 荧光WB的封闭要注意使用不含吐温的封闭液,推荐使用LI-COR Intercept Blocking buffer ,对于磷酸化蛋白,建议用TBS体系的Intercept Blocking buffer,因为PBS封闭液中存在的磷酸盐可能与磷蛋白抗体竞争性结合。

一抗孵育
对于一抗的选择,要选择合适厂家的一抗。不同厂家和不同来源的针对相同抗原的表现可能非常不同,建议测试一种以上一抗。
蛋白质磷酸化的双色检测。 用EGF刺激A431细胞,进行WB检测:同时加入兔源的Anti-ERK1和小鼠源的Anti-phospho-ERK一抗,再加入IRDye 680 RD(红色)的山羊抗兔和IRDye 800CW(绿色)标记的山羊抗小鼠的二抗进行检测。700 nm通道检测ERK1,800 nm通道检测phospho-ERK。ERK (红色) 和phospho-ERK (绿色) 叠加后为黄色,黄色的深浅即代表了磷酸化水平的高低,并且可以通过软件进行准确的量化分析。
二抗孵育
1 二抗的选择
二抗的质量和性能对Western Blot,In-Cell Western™检测以及许多其他免疫反应至关重要。
IRDye®系列近红外荧光染料,是特别为Odyssey®近红外检测系统优化的染料,具有亮度高、光稳定性好等特点。此外, IRDye®近红外染料发射光谱窄,不同荧光基团间也无交叉反应,非常适合于同时检测多种荧光。 (1)预吸附处理 :使用IRDye®标记的近红外荧光二抗均预先经过高交联吸附处理( highly cross-adsorbed),具有极高的信噪比,交叉反应性已降到最低。 (2)均一的染料结合比:针对Western blot 和 ICW 应用优化的最适D/P(染料结合比),保证定量更准确。 (左侧为不使用高交联吸附的二抗进行双色WB的例子。可以观察到抗大鼠的二抗与小鼠来源的一抗有交叉反应;而右侧使用了LI-COR的预吸附处理二抗,两支二抗间没有交叉反应。)
2 二抗的稀释
使用LI-COR IRDye® 800CW和IRDye®680RD二抗时,建议的稀释范围为1:5,000 -1:25,000,推荐先以1:20,000开始实验。 二抗稀释浓度需根据用的一抗和WB结果进行优化。蛋白量大且信号比较强的话需要较少的抗体,如果使用过量的二抗会增加膜的背景或非特异性结合。 (二抗稀释法对图像数据的影响)
去垢剂
需要注意,封闭,一抗,二抗孵育时去垢剂的添加。
Odyssey®帮您获得 Western Blot 可重复性数据 10 Tips 1. 使用合适的膜 Immobilon®-FL PVDF 膜和NC膜用于荧光Western Blot检测能得到更优结果。 2. 转印后将膜风干 转印后将膜风干能提高灵敏度和信噪比。 3.优化封闭条件 通过观察信号强度(阳性对照)与膜背景或阴性对照,比较至少三种不同的封闭缓冲液,以确定哪种封闭缓冲液更能满足您的实验需求。 4. 优化二抗浓度 IRDye®近红外二抗,建议初始稀释比例为1:20000,为获得更好的灵敏度,二抗优化稀释比例1:10,000-1:40000。 5. 验证一抗 确认一抗对靶标(以及亚型)的特异性。 6.确定目标蛋白和上样对照的共同线性范围 使用Empiria Studio®软件中的图形工具,优化目标蛋白和上样对照的上样量以获得共同的线性范围的定量结果。 7. 使用合适的实验对照 使用阳性对照和阴性对照对目标蛋白的特异性进行验证,并使用合适的分子Marker来追踪样本迁移。 8. 使用上样对照进行均一化 使用总蛋白进行均一化、信号蛋白均一化或者验证过的看家蛋白进行均一化,以减少变异提高准确性。 9. 重复实验 通过重复实验,以减少生物学和技术变异对数据分析的影响。 10. 使用能够生成可重复结果的软件 Empiria StudioTM提供引导式工作流程,带您从验证到统计分析,以获得可靠的结果。
\r\n\n", 3,$destination); ?>