生物科研整体解决方案
最新技术的引领者
传递最新资讯
让您无后顾之忧
来了解我们吧
当前位置:首页 > 技术交流 > 最新应用
技术交流
扫描二维码或添加“GeneGroup003”获取更多更新资讯
商城订购
扫描二维码或添加“基因商城(GeneMart)”手机下单,快人一步
售后服务
扫描二维码或添加“GeneGroup005”获取更快速售后支持
高品质糖苷酶,助力糖生物学研究!
随着糖生物学的迅速发展,蛋白质糖基化在制药和临床科学中的重要性日益增加,对用于聚糖分析的试剂质量要求也越来越高。目前许多现有的商品化糖苷酶在纯度方面存在明显不足,含有污染性糖苷酶副活性,这将使其在分析流程中的使用变得比较复杂和困难。
市售糖苷外切酶的污染活性检测比较
(源于NEB)
(A) 市售咖啡豆 α-半乳糖苷酶(CBG)中是否存在污染性 β-半乳糖苷酶活性。
(B) 市售肺炎链球菌 β-半乳糖苷酶(SPG)中是否存在污染性 α-神经氨酸苷酶活性。
其中,使用底物类似物 pNP-α-Neu5Ac 并没有观察到这种污染物,凸显了使用寡糖底物进行质量控制评估的重要性。缩写:Neu5Ac,N-乙酰神经氨酸;Gal,半乳糖;GlcNAc,N-乙酰葡糖胺;Glc,葡萄糖;AMC,7-氨基-4-甲基香豆素(荧光团);pNP,对硝基苯基(发色团)。根据生产商的建议建立反应,在每个实验中,使用可以完全水解底物的酶作为对照反应,水解百分比(% hydrolysis)就是通过与对照反应比较计算得出。
NEB为糖生物学研究提供一系列高品质糖苷酶,其中许多酶都是重组酶。NEB 实施业内严格的质控和持续改进措施,使用 18 项独立的质量评估指标测试终产品(包括SDS-PAGE, ESI-TOF,使用天然碳水化合物底物代替合成的比色糖类似物等),以排除糖苷内切酶和糖苷外切酶活性污染,并确保糖苷酶纯度可达 ≥95% 。
PNGase F 是一种广谱特异性的酰胺酶,是从糖蛋白中去除 N-糖链最常用的酶。PNGase F 消化是大多数实验流程中关键的第一步,在生物制药行业中变得越来越重要。NEB提供多种形式的PNGase F,经严格质控评估,具有高纯度高重复性。
PNGase F 选择推荐表(源于NEB)
快速 PNGase F 是一种经过优化的快速去糖基化酶,可以将不同抗体或抗体融合表达的蛋白质完全去除N-连接糖。去糖基化过程无偏嗜性,产物可用于下游的层析或质谱分析。
💦 无偏嗜性地去除全部 N- 糖苷
💦 反应时间短,灵敏度高,重复性好
💦 可直接进入下游层析或者质谱分析
💦 重组蛋白,产品纯度 ≥ 95%,批间差小
抗体经快速 PNGase F 处理后的 ESI-TOF 分析结果(源于NEB)
抗体经快速 PNGase F(非还原剂型) 处理后的 ESI-TOF 分析结果(源于NEB)
快速 PNGase F,让您实现在几分钟内完成去糖基化反应!
糖苷外切酶是非常有用的工具,但许多常用外切酶的商业来源通常缺乏供应链一致性,且整体产品质量差。NEB提供多种类型的高品质糖苷外切酶,经过多次严格质控,实现单位成本更低,纯度更高,批间差异更小,助力糖生物学研究!
常见的分析用糖苷外切酶(源于NEB)
R = 重组型, N = 野生型
将糖苷外切酶用于阐明聚糖结构已经过去 30 多年。随着时间的推移,有几种糖苷酶因其特异性更能满足分析需求,而成为该领域中聚糖测序的首选酶(见上表)。
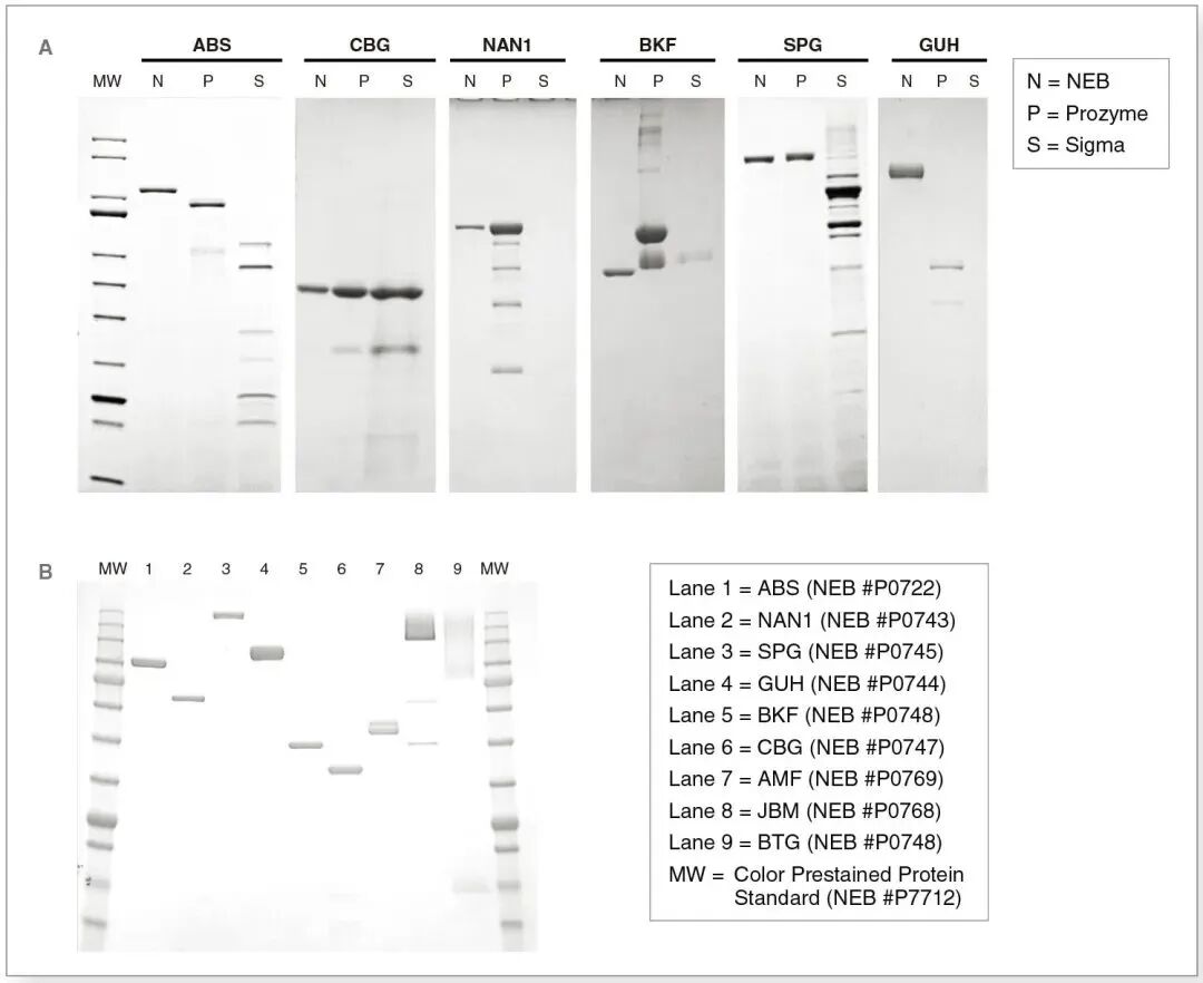
糖苷酶的纯度和质量比较(源于NEB)
(A)通过 SDS-PAGE 分离后染色,比较常见的市售分析用糖苷酶。三个字母缩写对应的酶名称见表 1。空泳道是对 20 μL Sigma-Aldrich® NAN1 商品化储备液进行分离的结果,代表没有观察到任何蛋白质。(B)对来自 NEB 的商品化试剂进行 SDS-PAGE 分离,AMF、JBM 和 BTG 都是通过酵母系统重组表达的糖基化蛋白质。
了解更多详情,
扫码联系产品专员!
基因有限公司自1998年起作为NEB中国区最早的合作伙伴之一,一直为您提供专业的产品咨询和技术支持。如需了解更多产品信息,请联系您身边的基因人。
欢迎关注我司“基因快讯”与“基因售后服务”官方微信
未经书面授权,所有页面内容、图片和设计不得以任何形式进行复制Copyright © 2016 genecompany,All Rights Reserved上海市闵行区浦星公路789号1幢5层 电话:021-58682790 隐私政策 法律声明
沪公网安备 31011202014103号
会员登录
我已阅读并同意 《隐私政策》
忘记密码员工登录
\r\n\n", 3,$destination); ?>