技术交流

扫描二维码
或添加“GeneGroup003”
获取更多更新资讯
商城订购

扫描二维码
或添加“基因商城(GeneMart)”
手机下单,快人一步
售后服务

扫描二维码
或添加“GeneGroup005”
获取更快速售后支持
Western Blot定量分析均一化策略--REVERT总蛋白染色
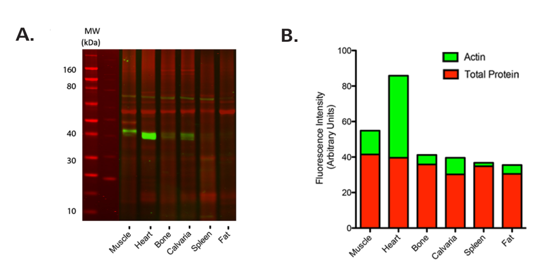
Western Blot作为一种分子生物学、生物化学和免疫遗传学中常用的一种实验方法,被广泛应用于检测蛋白水平的表达。研究者通常用内参来验证样品在凝胶上均匀上样,确认从凝胶到膜的一致转移,并比较样品之间的相对蛋白质水平。这种过程称为均一化(归一化),用于提高定量Western Blot分析的准确性和重复性。 均一化使定量分析更加准确。均一化确保观察到的蛋白质水平变化代表蛋白质样品的实际变化,而不是实验系统影响。(A)原始数据(未均一化):目标蛋白表达水平(红色)是明显变化了的;其中样品4显示蛋白表达水平最低。(B)均一化后的数据:内参蛋白(绿色)表明蛋白质上样量不一致;均一化后的结果表明,所有样本的目标蛋白表达水平非常相似。 研究人员认为看家蛋白(如actin、tubulin、GAPDH)作为均一化的方法是可靠的,因为它已被广泛发表。但最近的研究表明,看家蛋白有时不如预期的那样可靠。 β-actin在小鼠不同组织中的表达差异很大。(A)通过Western Blot评估肌肉、心脏、骨(股骨)、颅骨、脾脏和脂肪(性腺)组织样本中的β-actin表达量。近红外荧光多重Western Blot分析显示这些组织中β-actin蛋白表达(绿色)的可变性。总蛋白染色图像(红色;覆盖在印迹上)用于确认整个样品的蛋白质上样的准确性。(B)堆叠柱状图显示了每个组织β-actin (绿条)和总蛋白染色(红条)的比较变异性。 (Eaton et al. doi: 10.1371/journal. pone. 0072457) 大鼠视网膜发育过程中看家蛋白水平的变异性。(A)Western blot分析显示,α-tubulin、β-actin和MAPK1在不同的视网膜发育阶段,从胚胎到出生后(E18, P1, P4, P10, P14, P45)。 (Rocha-Martins et al. PLoS ONE 7(8): e43028 (2012). doi:10.1371/journal. pone.0043028)


(B) α-tubulin、β-actin和
MAPK1光密度分析。3次实验均用均数±SEM表示。β-actin在发育过程中变异性最大,CV = 36.6%。
//
在Western blot实验中,均一化策略的选择应该考虑多种生物学因素,如细胞死亡或刺激、生长条件、细胞类型、发育阶段等,所以不用做看家蛋白验证的总蛋白染色均一化策略正成为流行的替代方法。 Revert™ 700 总蛋白染色试剂盒 Selected P/N: 926-11015 用Revert™总蛋白染色试剂盒作为Western Blot均一化策略更加准确和可靠,因为这是一种基于膜的(转膜后)均一化策略,可以对样本中的所有蛋白质进行染色。总蛋白染色被认为是Western blot标准化的金标准,在广泛的样品浓度范围内提供线性信号,不需要特殊的试剂、设备或凝胶,并与后续的Western blot免疫检测方法兼容。 用Revert 700总蛋白染色试剂盒快速染色。Revert 700总蛋白染色试剂盒可在10分钟内对硝化纤维素或PVDF膜进行高效的蛋白质染色。 通过纠正定量Western Blot中靶蛋白上样和转膜的泳道之间的变量,使用Revert 700总蛋白染色试剂盒来精确均一化。与一些常用的看家蛋白相比,Revert 700总蛋白染色试剂盒具有更宽的线性范围。 相比于看家蛋白,Revert 700总蛋白染色试剂盒具有更宽的线性范围。定量数据需要在线性范围内检测。当细胞裂解物超过20 μg时,看家蛋白信号开始饱和,信号值与蛋白浓度不成线性关系。Revert 700总蛋白染色试剂盒在1~60 μg细胞裂解物之间呈线性关系。C32细胞裂解液在4-12% Bis-Tris凝胶中电泳,转移到硝化纤维素膜上。相对荧光强度为三个重复值的平均值。 总的来说,Revert 700总蛋白染色试剂盒具有以下特点: 1、相对于看家蛋白均一化而言,REVERT 总蛋白均一化不再受生物学差异的影响,不需要在每一种生物学条件下验证看家蛋白是否稳定表达; 2、与蛋白质可逆结合,不影响后续Western Blot实验中蛋白和抗体的结合; 3、在近红外荧光波段成像,灵敏度更高,背景更低; 4、能校正Western Blot的所有步骤 基因有限公司作为LI-COR产品中国区代理商,为您提供专业的近红外成像技术在Western Blot、In-Cell Western、双色EMSA、活体成像等方面的解决方案,提供更多应用咨询及技术支持。进一步了解更多详细内容,请关注我们的官方微信“基因快讯”或联系您身边的基因有限公司工作人员。




\r\n\n", 3,$destination); ?>