技术交流

扫描二维码
或添加“GeneGroup003”
获取更多更新资讯
商城订购

扫描二维码
或添加“基因商城(GeneMart)”
手机下单,快人一步
售后服务

扫描二维码
或添加“GeneGroup005”
获取更快速售后支持
经过IHC验证的肿瘤免疫研究抗体,助力探索肿瘤微环境
癌症免疫疗法
随着各大药物公司蜂拥进军肿瘤免疫市场,多种治疗性PD-L1/PD-1抗体在中国上市,多种CART疗法已经进入临床三期。肿瘤免疫疗法已表现出了强大的潜力,是一种治疗癌症的针对性方法,其原理是利用身体的免疫系统对抗肿瘤细胞。要促进免疫系统对癌症细胞的应答,有多种癌症免疫疗法可供选择:
免疫检查点如PD-L1/PD-1:应用针对调控免疫应答的特异性受体的单克隆抗体。癌症细胞中,这些受体过表达,以逃避免疫系统的检测和破坏。
联合免疫疗法:多种传统治疗方法的联合,或者将单克隆抗体与其他检验点的抗体或通路抑制剂联合,例如 CTLA-4 阻断加 PD-1/PD-L1 阻断,实现协同效应。
过继性细胞疗法:调整患者的肿瘤特异性 T 细胞,帮助其增强免疫系统抗击肿瘤的能力。
肿瘤疫苗:使用新抗原或可被 T 细胞靶向的其他抗原(例如 T 细胞识别的靶标),刺激患者对肿瘤细胞的免疫应答。
但是,即使是风头正劲的抗PD通路疗法的有效率,也因癌症类型不同而不同,从30%到90%不等。这就迫使科学家们深入寻找背后的分子机制,如其他抑制性通路或共刺激/抑制因子。
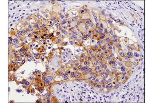
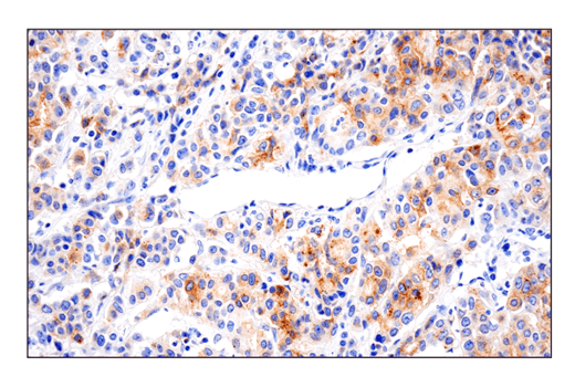
肿瘤生物标志物的检测经常使用 IHC 检测。因为 IHC 让肿瘤和周围的肿瘤微环境的背景可视化,所以它的独特性在于揭示癌症发生和进展。通过 IHC 准确检测需要高度特异性、经过严格验证的抗体试剂。CST提供经过IHC验证的肿瘤免疫研究抗体,帮助研究人员探索肿瘤微环境。
✦
经过IHC验证的肿瘤免疫研究抗体
✦
01
免疫检查点和配体
✦

02
表型和功能标志物
✦

03
肿瘤微环境与NK细胞
✦

04
过继性细胞治疗和肿瘤疫苗
✦

产品特色
• 超严格的抗体验证,使用多种分析方法验证
高特异性、高灵敏度、可重复性
• >130个抗体经过了IHC Leica®BOND™自动染色仪的验证
减少操作时间,更快获得免疫组化结果
• 经验证的用于多重免疫组化抗体
从每个组织切片收集更多的信息
• 优化即用的完整 Protocol
主要应用包括IHC、mIHC以及Leica Bond Rx
• 单克隆抗体
确保批次间一致性
• 更省时省钱的全套配套试剂
使用SignalStain®配套产品优化免疫组化分析
免疫组化应用试剂盒

抗原修复液

封闭液

检测试剂和显色剂

严格验证的IHC抗体+优化的配套试剂,
让您的镜下视野非同凡响!

生物标志物在癌症研究中有至关重要的作用,更多肿瘤相关生物标志物的IHC检测,请参考如下CST手册《用于免疫组织化学的癌症生物标志物指南》:

该指南包含了一些最重要的癌症研究生物标志物的完整列表。适用于涉及如下研究内容:淋巴细胞表型和功能/髓细胞表型及功能/肿瘤微环境/上皮间质转化(EMT)/细胞增殖/细胞死亡/细胞周期停滞/肿瘤抑制的标志物等。
如想获取本资料,欢迎联系如下CST产品专员

基因有限公司作为CellSignaling Technology(CST) 优质一级代理商,为您实验提供更优的支持和帮助。想要更多相关知识和资料,或了解更多促销信息请在本文后留言或联系您身边的基因有限公司员工。
\r\n\n", 3,$destination); ?>