技术交流

扫描二维码
或添加“GeneGroup003”
获取更多更新资讯
商城订购

扫描二维码
或添加“基因商城(GeneMart)”
手机下单,快人一步
售后服务

扫描二维码
或添加“GeneGroup005”
获取更快速售后支持
ChIP-seq实验小助手——西班牙琼脂糖
做ChIP实验染色质制备的时候总是遇到染色质片段化不好、重复性不好、IP后得到的量过少?看看下面新鲜出炉的最近我们基因技术小伙伴们帮助用户优化的实例。
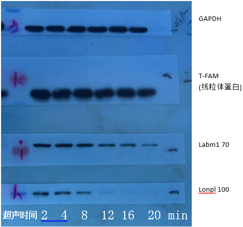
用户实例分享 最近有用户找到我们基因技术小伙伴,反映他们超声的染色质片段总是有超不断的染色质,并且重复性也不好。经过沟通和分析,我们技术小伙伴上门服务,带上我们的试剂盒陪着用户一起做,一次摸索即帮助用户确定了超声条件,打断梯度明显,WB 结果验证良好,后续用户按照我们的实验SOP操作也获得了良好的重复性。 实例一 优化前 样本为Hela细胞,细胞数量2 X10^7,使用T家ChIP试剂盒,琼脂糖胶浓度1.2%。超声无明显打断梯度,同时有大片段残留及超声过碎的片段 。 优化后 相同样本使用Covaris ChIP试剂盒及其流程优化后,超声有明显打断梯度,4-8min 即使大部分片段在150-750bp。取各时间点超声样本进行WB,WB条带显示,2-8min抗原表位几乎无损伤,超声8min蛋白丰度最高。 实例二 下面两图也是基因小伙伴上门服务帮助用户摸索的染色质超声片段化电泳和WB 结果,是用Covaris truChIP超声试剂盒+Covaris 超声进行第一次ChIP实验超声时间梯度摸索。可以看到明显的打断梯度,超声4-8min即可达到绝大部分片段在150-750bp,目的蛋白WB结果显示,超声4min组条带浓度最高。建议选择4min超声条件。 超声打断染色质胶图 各时间点超声样本WB结果图 可见使用Covaris超声+Covaris truChIP超声优化试剂盒,仅需1-2次时间梯度摸索即可得到稳定的超声条件,易优化可重复,低SDS配方,节约3倍抗体花费,低温超声保护抗原表位,提高IP效率! 现在我们更有联合Covaris/CST/MNG/BWE等多品牌推出的ChIP大礼包优惠活动,给大家带来ChIP实验优化方案及实用产品! ChIP实验优化大礼包 仅需RMB 2606即可获得最高价值RMB 4731的ChIP大礼包三款任选一!包含ChIP试剂盒、西班牙琼脂糖、纯化试剂盒、ChIP级别甲醛、对照抗体等任你选择!促销礼包+CST ChIP相关产品满赠还有高级冰盒等好礼相送! 活动1:仅需RMB 2606即可获得最高价值 RMB 4731的以下ChIP超声优化大礼包三款 任选一个。 1 ChIP实验礼包一:总价值4731 2 ChIP实验礼包二:总价值3633 3 ChIP实验礼包三:总价值3759 活动2:凡购买ChIP大礼包+以下列表ChIP 相关CST产品成交价每满5000元即可赠送 以下礼品三选一,多买多送 ! ChIP实验指南和实验SOP欢迎索取 本活动最终解释权归基因有限公司所有。 // 欢迎咨询 // 欢迎扫码联系我们的技术小伙伴咨询,同时可以您身边的基因小伙伴咨询详细促销信息及索取资料,促销赠品有限,赶快行动哟!




















\r\n\n", 3,$destination); ?>