技术交流

扫描二维码
或添加“GeneGroup003”
获取更多更新资讯
商城订购

扫描二维码
或添加“基因商城(GeneMart)”
手机下单,快人一步
售后服务

扫描二维码
或添加“GeneGroup005”
获取更快速售后支持
宏基因组与样本制备二三事
1
宏基因组的研究困扰
宏基因组测序是对环境样品中全部微生物的总DNA进行高通量测序,主要研究微生物种群结构、基因功能活性、微生物之间的相互协作关系以及微生物与环境之间的关系。
在宏基因组研究过程中,由于微生物样品种类繁多,可以来自人肠道,山川,河流,土壤,粪便等,进行取样时很难得到均一化样本,所获样本并不能直接反映目标样本整体微生物种类以及丰度的情况,同时也很难有统一的样品提取流程,因而,如何在复杂样本中提取到高质量微生物核酸是影响后续分析的关键因素。
2
Covaris为您解忧
Covaris
冷冻粉碎仪
CryoPrep™ CP02 冷冻粉碎仪, 只需20毫秒,帮您轻松解决样本制备的难题。
3
均一化的样本制备策略
来自格赖夫斯瓦尔德大学微生物研究所的Laurin Christopher Gierse研究团队发表了一篇题为《Influenza A H1N1 Induced Disturbance of the Respiratory andFecal Microbiome of German Landrace Pigs – a Multi-Omics Characterization》的文章,利用猪粪便研究甲型流感病毒感染期间微生物组组成和功能的变化。


❥)
通过以上两个案例我们可以看到无论是面对猪粪便这样具有污染性的样本,还是面对样本量有限的被病毒感染后的小鼠大脑,CryoPrep™ CP02都可以做到全程封闭,无污染低损耗的样本前处理,进而得到均一化的样本。
4
高质量的核酸提取
来自德国诊断病毒研究所的Claudia Wylezich研究团队发表在scientific repots上的研究成果,为研究宏基因组的科研人员提供了一种对所有病原体组同样成功和有效的通用方法。

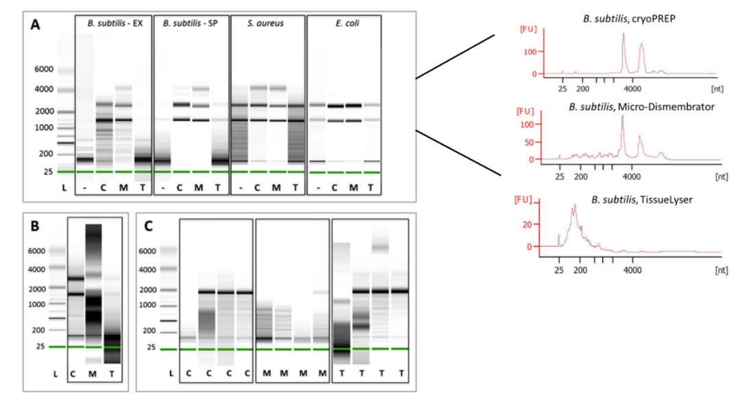
图1. 不同样本裂解方法比较。C, CryoPrep™;M,冷冻研磨;T,TissueLyser

表1. 从感染了分枝杆菌的不同组织中提取核酸
总结
CryoPrep™ CP02作为一款Covaris针对珍贵、难处理样本推出的一款样本粉碎仪器,在宏基因组以及微生物组的研究中都有着不俗的表现——提供高度均一化的样本以及高质量的核酸。提高样本前处理水平,才能进而提高下游的实验质量。
划重点!!!

Covaris公司一直致力于研发基于声学、机械及分子生物学的高性能组织样本处理系统,旨在帮助研究者实现快速、稳定、高效样品的预处理。基因有限公司作为Covaris在中国的合作伙伴和全国代理商,为您提供DNA片段化、ChIP实验、FFPE样本核酸提取、蛋白提取解决方案等。快戳下图获得更多第一手资料吧!

参考文献
[1] Laurin G, Alwxander M, Daniel S, et al. Influenza A H1N1 Induced Disturbance of the Respiratory and Fecal Microbiome of German Landrace Pigs – a Multi-Omics Characterization.Microbiology Spectrum, 2021, 9(2):21.
[2] Calvelage S , Tammiranta N , Nokireki T , et al. Genetic and Antigenetic Characterization of the Novel Kotalahti Bat Lyssavirus (KBLV)[J]. Viruses, 2021, 13(1):69.
[3] Claudia W , Anna P , Martin B , et al. A Versatile Sample Processing Workflow for Metagenomic Pathogen Detection[J]. Scientific Reports, 2018, 8(1):13108-.
\r\n\n", 3,$destination); ?>