技术交流

扫描二维码
或添加“GeneGroup003”
获取更多更新资讯
商城订购

扫描二维码
或添加“基因商城(GeneMart)”
手机下单,快人一步
售后服务

扫描二维码
或添加“GeneGroup005”
获取更快速售后支持
关键肿瘤免疫检查点知多少?
✦
肿瘤免疫
✦
近年来,肿瘤免疫备受关注。T 细胞的免疫应答不仅受 TCR 的调控,还受辅助调节信号的精细调控。PD-L1、PD-L2、B7-H3、B7-H4 等免疫监控点蛋白是产生抑制的主要原因,它们抑制 T 细胞的活化。此外 VISTA、LAG-3 、TIM-3和CTLA-4 等也产生抑制效应。与之相反,ICOS、CD40L 及 OX40 等可正向调节 T 细胞活化。有研究发现,加入这些蛋白的激动剂,可以提高 T 细胞对肿瘤的免疫。还有研究表明,与负调控因子的阻断剂联合使用,能加强抑制肿瘤的效果。此外,参与免疫代谢的重要蛋白如 IDO,Arginase-1,CD73 也起到了非常重要的免疫调节作用。

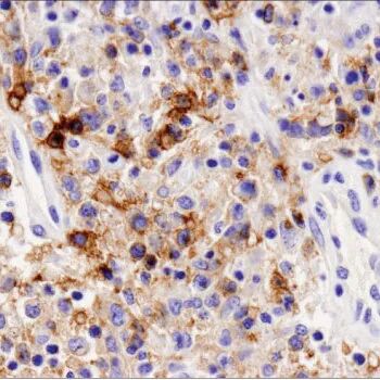
使用 PD-L2 (D7U8C™) XP® Rabbit mAb 对石蜡包埋的人纵隔大 B 细胞淋巴瘤进行免疫组织化学分析。

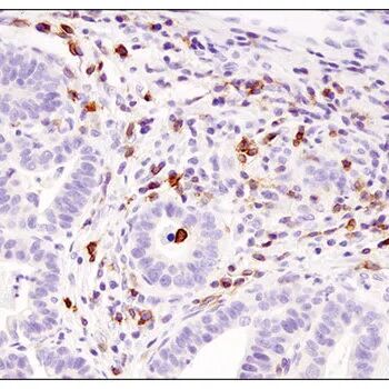
使用 ICOS (D1K2T™) Rabbit mAb 对石蜡包埋的人结肠癌细胞进行免疫组织化学分析。
研究发现,肿瘤微环境显著影响免疫抑制,肿瘤浸润性的淋巴细胞,如效应性 T 细胞(CD8+)和调节性 T 细胞(FoxP3+)的比例会影响免疫监控点阻断治疗的效果。因此,很多时候需要对这些相关靶标进行同时检测,多重免疫组化就是较为理想的方法。这一领域的研究方兴未艾,为治愈癌症打开了新的窗口。

运用六重共抑制免疫检查点蛋白与 DAPI(细胞核染色),mIHC 分析浆液性卵巢癌组织。显示所有七个通道的多重影像(左上),以及从中显示单个通道的受关注区域(左上的白色框)。
免疫检查点 PD-L1
PD-L1 (又名 B7-H1 或 CD274 ) 是近年来发现的 B7 家族细胞表面配体,它与主要表达在活化 T 细 胞上的抑制性受体 PD-1 结合后可调节T细胞的活化及分化过程。它通过激活初始T细胞、抑制活化的效应T细胞及调节细胞因子的分泌等参与多种免疫过程。以 PD-L1 为靶点的免疫调节与动物器官移植排斥反应、自身免疫性疾病、慢性病毒感染、肿瘤免疫逃逸等多种疾病的发生、发展密切相关。
研究表明,PD-L1 蛋白广泛表达于抗原呈递细胞 (APCs),活化T/B细胞、巨噬细胞、胎盘滋养层、心肌内皮和胸腺内皮上皮细胞。研究显示 PD-L1 在多种类型的肿瘤中都有表达,包括黑色素瘤,卵巢癌,结肠癌,肺癌,乳腺癌及肾细胞癌。PD-L1 通过与 T 细胞上的 PD-1 受体结合介导肿瘤免疫逃逸,导致 Treg 活性增强及抗肿瘤T细胞失能,常提示肿瘤预后不良。

使用PD-L1 (E1L3N®) XP® Rabbit mAb #13684 对石蜡包埋的人肺癌样品进行免疫组织化学染色

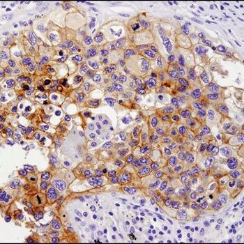
中山大学肿瘤防治中心使用PD-L1(E1L3N ® )XP ® Rabbit mAb #13684染色石蜡包埋的肝癌组织切片。
►►►
PD-L1 抗体及相关试剂
01
一抗(Primary Antibody)
✦
CST 提供针对不同物种(小鼠和人)不同表位(胞内序列和胞外序列)的高度特异性的 PD-L1单克隆抗体,可用于 WB, IP, IHC, IF 和 F 等实验,基本满足现有的实验需求。
其中,无载体配方PD-L1 (E1L3N®) XP® Rabbit mAb (BSA and Azide Free) #85164和PD-L1 (D5V3B) Rabbit mAb (Mouse Specific; IHC Specific) (BSA and Azide Free) #85095可以满足包括质谱流式,成像质谱流式等各种需要特殊抗体偶联的需求,是助力研究人员深入了解肿瘤免疫以及肿瘤微环境并开展转化医学研究的不二选择。

02
偶联抗体(Antibody Conjugate)
✦
使用 PD-L1 抗体与 Alexa Fluor® 488,594 和 647 偶联,在流式和免疫荧光(IF-IC,IF-F)中使用;通过伯胺基团与生物素,HRP (辣根过氧化物酶) 偶联,可用于 WB。

03
ELISA试剂盒(ELISA Kit)
✦
包含了检测 PD-L1 内源水平的所有必需成分,通过比色法可读取数据结果。

04
阳性切片对照(Experimental Control)
✦
PD-L1阳性切片对照,帮助您鉴定实验结果,确保数据分析的准确性。

免疫检查点 CTLA-4
细胞毒性 T 淋巴细胞蛋白 4 (CTLA-4, CD152) 是 Ig 超家族的一员,能够负向调控 T 细胞的早期激活。CTLA-4 蛋白主要在 T 细胞中表达,包括 CD8+ 细胞毒性 T 细胞、CD4+ 辅助 T 细胞和 CD4+/FoxP3+ 调节性 T 细胞。CTLA-4 蛋白与 CD28 在细胞表面争相结合 B7.1 (CD80) 和 B7.2 (CD86),导致 T 细胞活性下调。CTLA-4 下游 SHP-2 和 PP2A 的激活会减弱 TCR 信号转导。研究表明,CTLA4 敲除小鼠患有引起过早死亡的淋巴组织增殖性疾病,表明 CTLA-4 可负向调控 T 细胞。相应 CTLA4 基因突变与多种疾病有关,包括胰岛素依赖性糖尿病、格雷夫斯病、桥本甲状腺炎、乳糜泻、系统性红斑狼疮和 V 型自身免疫性淋巴细胞增殖性综合征。其他研究表明,CTLA-4 阻滞是肿瘤免疫治疗的有效策略。
►►►
CTLA-4 抗体及相关试剂
跟PD-L1类似,CTLA-4 也是免疫治疗领域一个非常重要的转化医学相关靶点。研究人员需要观察肿瘤组织微环境中该靶标的表达情况,以识别肿瘤微环境当中免疫细胞的表型和功能。CST CTLA-4 抗体(#53560)是目前市面上两款用于 IHC-P应用的科研抗体之一,在十多种癌症组织样本当中进行了严格的验证,适用于手动和基于自动染色机的免疫组化实验,是性价比之选。

在 Leica® BOND™ Rx 上使用 CTLA-4 (E2V1Z) Rabbit mAb 对石蜡包埋的人 B 细胞非霍奇金淋巴瘤进行免疫组织化学分析。

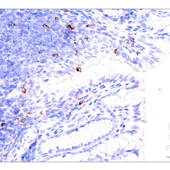
使用 CTLA-4 (E2V1Z) Rabbit mAb 对石蜡包埋的正常小鼠结肠进行免疫组织化学分析。

同样,无载体配方CTLA-4 (E2V1Z) Rabbit mAb (BSA and Azide Free) #26893 也可以满足包括质谱流式,成像质谱流式等各种需要特殊抗体偶联的需求。
关键免疫检查点相关抗体
推荐
CST专注于为生物医学研究提供高质量的研究工具(抗体、试剂、服务和支持),在科研圈声名卓著,尤其在抗体领域。不仅仅提供传统的信号通路领域的行业标杆抗体,同时也紧跟生物医药市场新趋势和新靶点走向,ALK、CTLA-4、PD-1/PD-L1、TIGIT等关键免疫检查点相关抗体陆续被应用在新冠病毒抗体及疫苗、阿尔兹海默症、肿瘤、代谢等多个药物开发热门领域。

如有问题或需求,欢迎联系如下CST产品专员

基因有限公司作为CellSignaling Technology(CST) 优质一级代理商,为您实验提供更优的支持和帮助。想要更多相关知识和资料,或了解更多促销信息请在本文后留言或联系您身边的基因有限公司员工。
\r\n\n", 3,$destination); ?>